Top Story
Latest News
How much solid waste do neurointerventions generate?
February 24, 2026
Turnover increasing among radiology practices
February 24, 2026
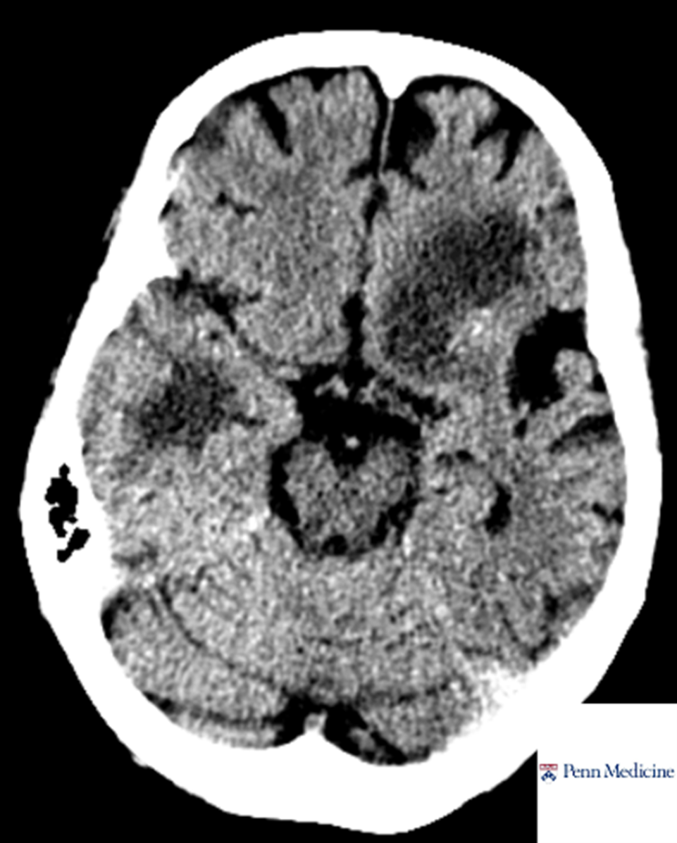
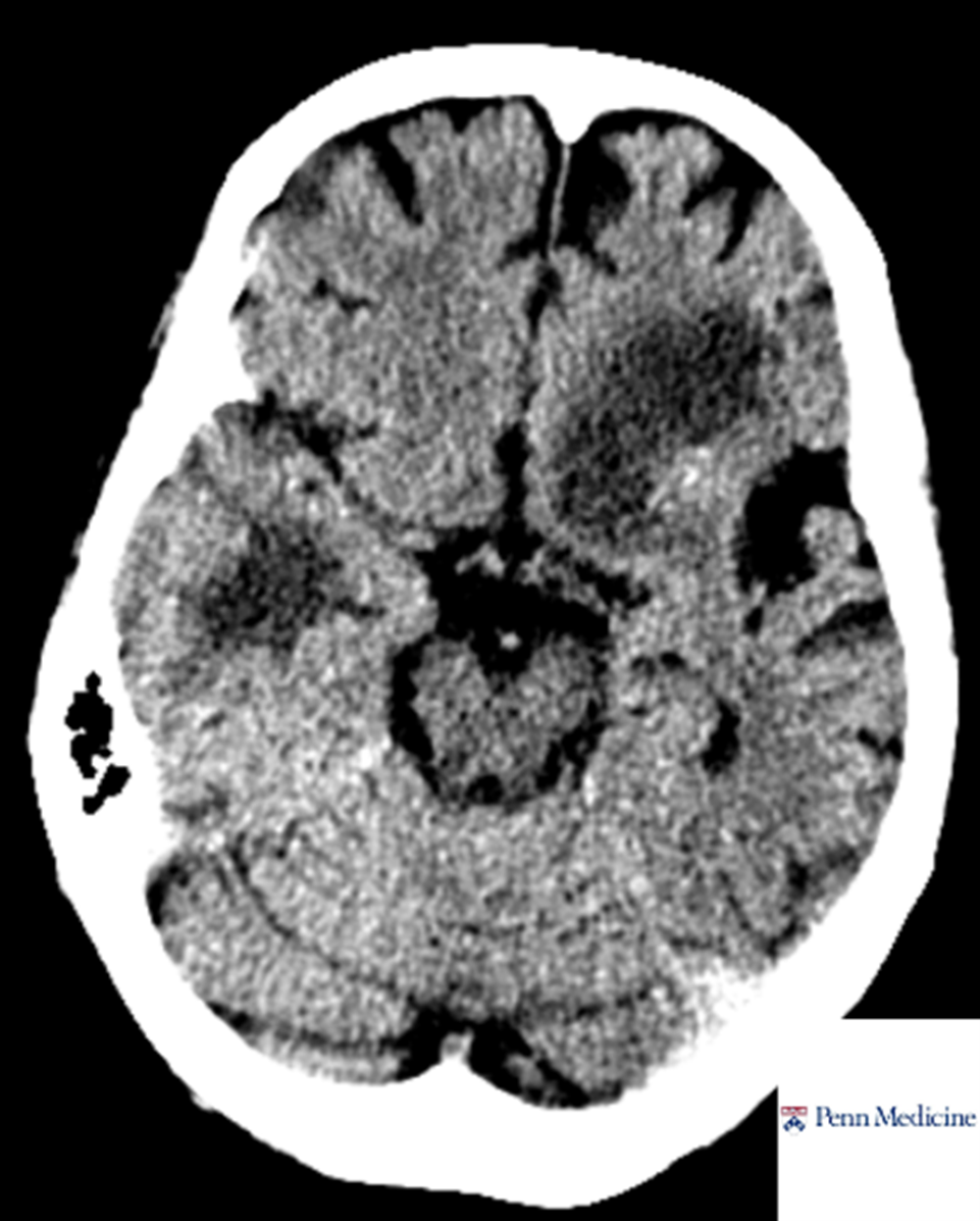
Cases of the Week
Check out our Cases of the Week!
Podcast Network
How Agentic AI Is Transforming Radiology Ops
Read More
More from AuntMinnie
FDA expands Vueway approval to neonates and infants
February 24, 2026
Brainomix raises series C financing to $25.4M
February 24, 2026
First Clairity Breast cancer risk score given at BIDMC
February 24, 2026
Inova first to install new GE Healthcare MRI scanner
February 24, 2026
Could less ultrasound lead to less thyroid cancer overdiagnosis?
February 24, 2026
AdvaMed weighs in on Supreme Court's tariff decision
February 23, 2026
Genetic mutations linked to poor outcomes in Pluvicto patients
February 23, 2026
AI support leads to more cancers found on DBT
February 23, 2026
U.S. FDA clears enhancements to Varian's Halcyon radiotherapy system
February 23, 2026
QT Imaging secures CPT code for 3D breast ultrasound tomography
February 23, 2026




















