Dear AuntMinnie Member,
Could digital breast tomosynthesis (DBT) be a standalone option for breast cancer screening? New research adds heft to the evidence supporting its viability.
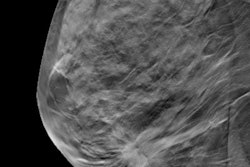
In a large study, DBT detected more than twice as many cancers as full-field digital mammography alone. It also yielded better performance than a combination of the two technologies.
Of course, mammography still offers immense value. In fact, researchers have concluded that routine screening mammography may be able to remove race entirely as a source of disparity in survival rates from triple-negative breast cancer. They reported that African American women with triple-negative breast cancer identified through routine screening had significantly improved survival rates.
Also, new research found that most clustered microcysts discovered on breast ultrasound don't need to be biopsied and can be safely tracked with imaging.
Get these stories and more in our Women's Imaging Community.
Update on CT for coronavirus
New research continues to be published each week documenting the critical role of CT in the early detection of the 2019 novel coronavirus disease (COVID-19). For example, CT has demonstrated better sensitivity than DNA testing in high-risk individuals upon initial presentation of symptoms.
With the growing use of CT for diagnosing COVID-19, more and more radiology departments around the world are on the frontlines in the fight against the outbreak. To help imaging facilities in the U.S. prepare for the escalating incidence of COVID-19, a team of researchers from the University of Southern California has suggested several protocols to limit the spread of the disease by staff and equipment.
In other CT news, prehydrating patients with chronic kidney disease prior to contrast-enhanced CT exams may not be needed. Although that practice has been the standard of care for years, researchers from the Netherlands determined that it results in unnecessary costs with few benefits to patients.
Check out our CT Community for these and other stories.
Ultrasound for DVT
Three different compression ultrasound methods are commonly used in clinical practice to identify deep vein thrombosis (DVT). But which one is the best? A meta-analysis concluded that single limited, serial limited, and whole-leg compression ultrasound yielded similar results and could be considered equivalent for clinical practice.
You'll also want to check out the other new articles in our Ultrasound Community, including coverage of research that found ultrasound useful for identifying children with cystic fibrosis who are at risk for developing cystic fibrosis liver disease.



















