
Clustered microcysts found on breast ultrasound are at very low risk of developing into cancer and can be safely tracked with imaging rather than biopsied, according to a study published online February 18 in Radiology.
Since these microcysts are fairly common among perimenopausal women, the findings offer a helpful framework for how best to deal with them once they are identified, wrote a team led by Dr. Alyssa Goldbach of Temple University Hospital in Philadelphia.
"Our investigation attempts to contribute enough additional cases to the existing literature to more confidently support a recommendation of benign (BI-RADS category 2), thus avoiding biopsy," the investigators wrote.
Clustered breast microcysts may be common, but there have been limited data on how to best assess and manage them, Goldbach and colleagues noted. So the group conducted their research in hopes of helping to set appropriate management recommendations.
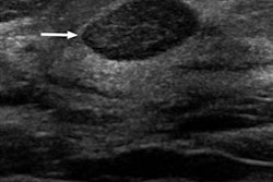
The study included 189 women with 196 lesions classified as clustered microcysts on breast ultrasound scans between 2005 and 2015. Any pathology or cytology report information gathered by ultrasound-guided biopsy was also considered. If no biopsy was performed, only lesions with at least two years of imaging follow-up were included. The mean maximum size of the lesions was 0.88 cm.
Of the 196 lesions, 158 (81%) were tracked with imaging over the course of 24 months; 38 (19%) were biopsied. The researchers found that none of the lesions were found to be malignant over the follow-up period. The team also found that of the 158 clustered microcysts with at least two years of imaging follow up, 73% were unchanged, 18% resolved, and 8% decreased in size.
The study results jibe with other research that has found the risk of malignancy for clustered microcysts to be quite low, Goldbach and colleagues wrote.
"The current data provide reassurance in our own practice to support classification of these lesions as benign, and tissue sampling can be safely avoided," they concluded.
The results also address a long-held concern that breast cancer screening prompts unnecessary further testing -- such as biopsy, wrote Dr. Wendie Berg, PhD, of the University of Pittsburgh School of Medicine in an accompanying editorial.
"It is time that we reduce unnecessary follow-up or biopsy of many benign cystic breast masses," Berg wrote. "With this additional study on the outcomes of clustered microcysts, we now have sufficient data to support a BI-RADS 2 (benign) assessment for the vast majority of such findings."




















