
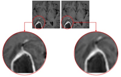
Advanced visualization software firm Imaging Biometrics (IB) announced it has secured a U.S. patent for its IB Zero G artificial intelligence (AI) software, which is designed to eliminate the need for gadolinium-based contrast agents in imaging exams.
IB Zero G accepts noncontrast medical images as inputs and produces a synthetic image series that mimics contrast-enhanced images of comparable diagnostic quality, IB said. Benefits include less time in the scanner for patients and for providers, an increase in scanner availability, and a reduction in gadolinium expense, the company reported.

IB Zero G is compatible with all MRI scanners, according to the firm.