Mediastinal goiter
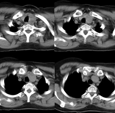
The CT scan below demonstrates abnormal enlargement of the left lobe of the thyroid gland which extends into the anterior mediastinum, posterior to the manubrium. There is deviation of the tracheal air column to the right.

The CT scan below demonstrates abnormal enlargement of the left lobe of the thyroid gland which extends into the anterior mediastinum, posterior to the manubrium. There is deviation of the tracheal air column to the right.
