Mediastinum:
Anatomists divide the mediastinum into four parts- the superior and inferior mediastinum (separated by an imaginary line traversing the manubrial joint and the lower surface of T4), and then the inferior compartment is divided into the anterior, middle (containing the heart, major blood vessels and airways), and posterior mediastinum [2]. Felson divided the mediastinum based upon the lateral CXR with the anterior mediastinum bounded anteriorly by the sternum and posteriorly by a line drawn from the anterior aspect of the trachea and along the posterior heart border; the posterior mediastinum is defined by a line that is 1 cm posterior to the anterior edge of the vertebral bodies; and the middle mediastinal compartment lies between the anterior and posterior mediastinum [2].
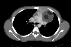
Anterior medisstinal masses:
1- Prevasular masses: Lymphoma/adenoapthy, retrosternal goiter, thymic lesions, and germ cell tumors
2- Precardiac masses in contact with the diaphragm: Epicardial fat, Morgagni hernia, pleruopericardial cysts, and adenopathy
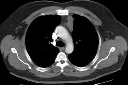
Middle mediastinal masses:
1- Adenopathy, aneurysms, forgut duplication cysts, hiatal hernia, and tracheal lesions
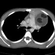
Posterior mediastinal masses:
Neurogenic tumors constitute between 20 to 40% of resected mediastinal neoplasms and the great majority are located in the posterior mediastinum. Neurogenic tumors are the most common cause of a posterior mediastinal mass [1]. Between 70-80% of the lesions are benign and approximately 50% of patients are asymptomatic. The vast majority of mediastinal neurogenic tumors are benign. Neurogenic tumors can be divided into 3 categories:1- Arising from peripheral nerves: Schwannoma, neurofibroma, and malignant tumors of nerve sheath origin
2- Arising from sympathetic ganglia: Ganglioneuroma, ganglioneuroblastoma, and neuroblastoma
3- Arising from paraganglia: Paraganglioma
- Lateral Thoracic Meningocele
- Other cause of posterior mediastinal masses include: Extramedullary hematopoiesis, Aortic aneurysm, Pancreatic pseudocyst, and Ectopic kidney
REFERENCES:
(1) Chest 1997; Strollo DC, et al. Primary mediastinal tumors. Part
II: Tumors of the middle and posterior mediastinum. 112: 1344-57
(2) Radiographics 2007; Whitten CR, et al. A diagnostic approach to mediastinal abnormalities. 27: 657-671





