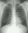
Morgagni Hernia:
The infant in the images below was referred for the evaluation of a "cystic anterior mediastinal mass." The "mass" was confirmed to be large bowel loops on a barium enema exam.
(Click on small images to view larger radiographs)
CXR:


BE:






