J Nucl Med 2000 Nov;41(11):1861-7
PET in differentiation of recurrent brain tumor from radiation injury.
Langleben DD, Segall GM.
The annual incidence of primary intracranial tumors is 7 to 19 cases per 100,000
people. The general approach to the treatment of brain neoplasms is surgical
resection of solitary lesions or limited disease, followed by radiation therapy
with or without chemotherapy. Multiple metastatic lesions are usually treated
with whole-brain radiation. Radiation injury occurs in 5% to 37% of cases and
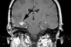
can be difficult to differentiate from residual or recurrent malignancy by MRI.
PET has been used to differentiate radiation injury from malignancy on the basis
of differences in glucose uptake. Recent studies have reported the sensitivity
and specificity of PET to be 81% to 86% and 40% to 94%, respectively. This
article reviews the classification of primary brain tumors, the histologic
changes associated with radiation injury, and the diagnostic and prognostic
information provided by PET.
- Review






