
Heart inflammation linked to COVID-19 affects nearly 2.5% of college athletes, according to research being presented at the RSNA annual meeting.
A team led by Dr. Jean Jeudy found in its study of nearly 1,600 athletes that a high proportion of the myocarditis cases were found in athletes with no clinical symptoms, with cardiovascular magnetic resonance improving detection by nearly 7.5 times.
"The role of cardiovascular magnetic resonance as a screening tool in this population needs to be explored," Jeudy and colleagues wrote.
As college athletics are back in full swing, even with COVID-19 still prevalent, concerns have been raised about the health of student athletes. Heart inflammation has been linked to as many as 20% of sudden deaths in young athletes, the researchers said.
Previous research suggests that cardiac MRI boosts detection of heart inflammation linked to COVID-19 detection by more than sevenfold and that 15% of college athletes who recovered from the coronavirus had myocarditis.
Jeudy et al wanted to understand how frequent myocarditis is in student athletes recovering from SARS-CoV-2 infection. They looked at data from 1,597 athletes from 13 institutions in the Big Ten COVID-19 Cardiac Registry, coordinated by Ohio State University. Big Ten Conference officials required all athletes who had COVID-19 to get a series of cardiac tests before returning to play.
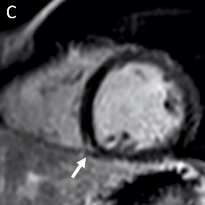
The researchers found that 37 athletes were diagnosed with COVID-19 myocarditis, which showed on MRI as late gadolinium enhancement. Out of these, nine (24%) had clinical myocarditis and 28 (76%) had subclinical myocarditis.

Meanwhile, 20 athletes did not present with cardiac symptoms or testing abnormalities. However, cardiovascular magnetic resonance found inflammation in these patients.
"If cardiac testing was based upon cardiac symptoms, only five cases would have been detected and 32 may have been missed," the researchers said.
The group found that cardiovascular magnetic resonance for all athletes increased detection 7.4-fold.
Follow-up cardiac MRI testing was performed in 27 athletes. Imaging showed that T2 elevation in MRI resolved in all patients and late gadolinium enhancement was found in 11.
Jeudy noted that the implications of post-COVID-19 myocardial injury detected by cardiac MRI are still unknown. However, the team hopes the registry will allow researchers to study variables such as changes in exercise function over time.
The researchers said the study shows that cardiac MRI adds "considerable value" to cardiac testing for athletes. While the number of patients in the study affected in this study was small, the authors also said cardiac MRI could help increase the number of athletes identified and prevent further complications.