Pneumomediastinum:
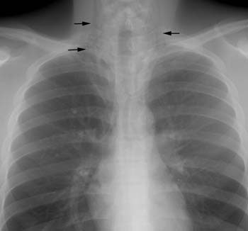
The patient shown below presented with chest pain after swimming. Vertically oriented radiolucencies can be seen in the lower neck bilaterally. Vertical lucencies can also be seen anterior to the heart and great vessels within the anterior mediastinum on the lateral view.
(Click on small image to view larger radiograph if desired)









