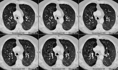
Case 3: Severe cystic bronchiectasis
The images from the CT scan below demonstrate extensive, severe cystic bronchiectatic changes. Allergic bronchopulmonary aspergillosis is a cause of cystic bronchiectasis. (Click image to enlarge)

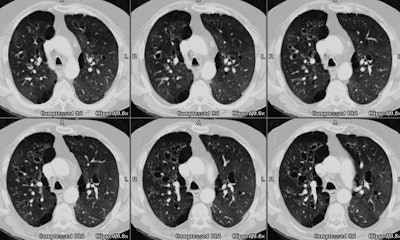
The images from the CT scan below demonstrate extensive, severe cystic bronchiectatic changes. Allergic bronchopulmonary aspergillosis is a cause of cystic bronchiectasis. (Click image to enlarge)
