Golden "S" sign:
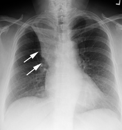
The patient below presented with a cough. CXR demonstrated a collapsed right upper lobe with a convex bulge along the lower aspect of the collapsed lung (white arrows) producing a "Golden 'S' sign". This finding is concerning for a central mass lesion.  | 
  
        | 
  
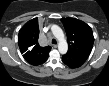
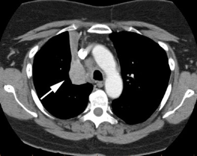
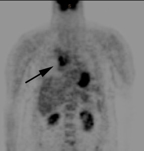
CT imaging confirmed a right upper lobe collapse with a central mass (white arrow). The lesion was hot on PET imaging (black arrow) and there was also uptake within pathologic mediastinal lymph nodes. The lesion proved to be a non-small cell lung cancer.  | 
  
| 
     
      | 
  









