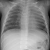
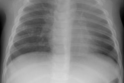
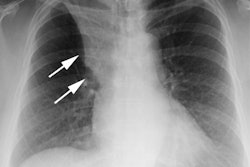
Airway Stents
- Clinical:
The most common complications of airway stents are stent migration, lumenal narrowing (secondary to granulation tissue formation), and stent fracture [1]. More rare complications include airway perforation and stent erosion into adjacent sturtcures [1]. Silicon stents are more predisposed to migration than metallic stents [1]. However, metallic stents have a higher complication rate and are more difficult to remove [1]. As such, metallic stents are being used less frequently and the FDA has issued a warning that metallic stents should be avoided in patients with benign disorders [1].
- X-ray:
REFERENCES:
(1) AJR 2008; Dialani V, et al. MDCT detection of airway stent complications: comparison with bronchoscopy. 191: 1576-1580








