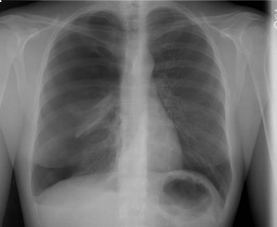
Right Pneumothorax
The female patient shown below presented with shortness of breath and right sided pleuritic chest pain. The chest radiograph demonstrated a large right pneumothorax with compressive atelectasis of the right lung. Despite chest tube placement, the pneumothorax persistent and the patient required thoracoscopic surgery for apical blebs.








