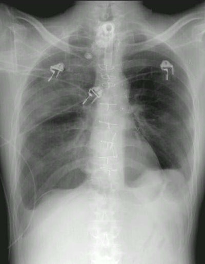
Pneumopericardium:
The patient below demonstrates an example of pneumopericardium. The patient had undergone a prior median sternotomy and coronary artery bypass procedure which resulted in resection of a portion of the pericardium. When the patient developed a right sided pneumothorax (as evidence by the "deep sulcus sign" overlying the right costophrenic angle) the air was able to enter the pericardial sac. Air can be seen surrounding the heart and there is a "continuous diaphragm sign", but the air does not does not extend into the upper mediastinum or neck as would be seen in association with pneumomediastinum.







