
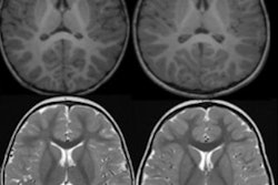
MRI shows that so-called "superagers" -- people in their 80s who have the memory function of much younger individuals -- have more gray matter in brain regions linked to memory function than their peers, a new study in Lancet Healthy Longevity reports.
The findings suggest that the brains of these individuals are less affected by the cognitive decline that tends to manifest as people age. Additionally, they are also more likely to have greater movement speed and lower rates of anxiety and depression, wrote a team led by doctoral candidate Marta Garo-Pascual of the Queen Sofia Foundation Alzheimer Centre at the Universidad Politécnica de Madrid in Spain.
"[Our study found] no differences in biomarkers or genetic risk factors for neurodegenerative disease ... between superagers and typical older adults, suggesting superagers are resistant to age-related processes that lead to memory decline," the investigators wrote in the study, which was published on July 13.
Whether superagers have different brains compared to typical older adults or whether they are more successful at dealing with aging has been unclear, according to Garo-Pascual.
"We are now closer to solving one of the biggest unanswered questions about superagers: whether they are truly resistant to age-related memory decline or they have coping mechanisms that help them overcome this decline better than their peers," she said in a statement from the journal. "Our findings suggest superagers are resistant to these processes, though the precise reasons for this are still unclear. By looking further into links between superageing and movement speed we may be able to gain important insights into the mechanisms behind the preservation of memory function deep into old age."
Previous research has found brain and lifestyle factor differences among superagers, but these studies have had small sample sizes and have not necessarily tracked changes over time. Garo-Pascual's group sought to address the knowledge gap using data from a study called the Vallecas Project that aimed to identify early indicators of Alzheimer's disease and included 1,213 participants.
From this total cohort, the investigators used data from 64 superagers and 55 typical older adults (all of whom were aged 79.5 years or older). Whether a person was a superager or a typical older person was based on their performance on the Free and Cued Selective Reminding Test, a tool that assesses memory function.
Study participants had up to six annual follow-up visits between 2011 and 2014 that tracked demographic and lifestyle factors. At each visit, the participants underwent brain MRI to measure gray matter volume and completed a variety of clinical tests. Researchers also took blood samples to screen for biomarkers for neurodegenerative disease and genetic risk factors for Alzheimer's.
For the study, Garo-Pascual's group used a machine-learning algorithm that included 89 demographic, lifestyle, and clinical predictors to identify any factors associated with superagers.
MRI showed that superagers had more gray matter -- tissue key to brain function -- in areas controlling memory and movement and that this gray matter tissue broke down more slowly over five years compared to the gray matter of typical older adults.
"Superagers performed better in the Timed Up and Go Test -- which gauges people's mobility -- and a finger tapping test that measures fine motor function, indicating they have better mobility, agility, and balance than do typical older adults," the team reported.
The researchers found that, compared to their peers, superagers were more active and more likely to have a musical background, greater independence in their day-to-day living, higher intelligence test scores, and lower levels of neurodegeneration biomarkers and APOE e4 (a genetic risk factor for Alzheimer's) compared to their peers.
The AI algorithm produced similar results to the MRI data, although it was only able to distinguish superagers from typical older adults 66% of the time, which suggests that superaging could be affected by additional genetic factors, according to the investigators.
In any case, the study results add to the current knowledge base regarding superagers' brain resilience, according to the authors.
"The brain structural signature and clinical and lifestyle factors associated with the superageing phenotype probably reflect a resistance to age-related memory decline, and these factors overlap with those associated with dementia prevention," they concluded. "Additionally, the connection between preserved memory performance and motor function in people older than 80 provides novel insights into how to promote resistance to age-related memory loss. Taken together, the identified factors associated with superageing can inform the design of intervention trials to promote healthy ageing of episodic memory."
Read the complete study.





















