
Measuring the early filling fraction can improve MRI's ability to diagnose constrictive pericarditis (CP), according to new research from Michigan and Pennsylvania.
The secret to MRI's success lies in its functional measures, which outperform conventional morphologic signs of disease, investigators said in May at the 2010 American Roentgen Ray Society (ARRS) meeting in San Diego.
CT and MRI are the modalities of choice for diagnosing the progressively debilitating condition, but anatomical evaluation can be inconclusive. Severe cases can occur with minimal thickening of the pericardium, while the presence of another common marker, calcification, doesn't necessarily indicate the presence of hemodynamically significant disease.
Constrictive pericarditis is present when thickened or noncompliant pericardium inhibits diastolic filling of the heart, "so a significant portion of ventricular filling occurs rapidly in late diastole," explained Dr. Maryam Ghadimi Mahani from the University of Michigan Health Center in Ann Arbor and her co-investigators Dr Friedrich Knollmann and Prachi Agarwal. "We decided to determine the accuracy of cardiac MRI in constrictive pericarditis by evaluating the diastolic filling fraction."
The study also compared this measure with other established cardiac MRI measures of CP. Mahani and colleagues from Michigan and the University of Pittsburgh Medical Center evaluated 24 individuals (including 13 controls) using cardiac MRI.
Group 1 consisted of 11 consecutive patients (mean age, 53 years; range, 36-72) between 2004 and 2008, all with pathologically proven constrictive pericarditis. Group 2 consisted of 13 patients (mean age, 35 years; range, 17-52) referred to MRI for other indications; these patients had normal cardiac MRI results and served as control subjects in the study.
Cardiac MRI was performed on a 1.5-tesla MRI scanner, ventricular function was assessed with a short-axis cine SSFP images which has 20 phases, and the images were evaluated at a workstation for functional analysis, Mahani said.
The radiologists were blinded to clinical reports. In each case, they evaluated end-diastolic and end-systolic volumes, stroke volumes, ejection fraction of both ventricles, and right and left ventricular volumes for five phases after the end-systolic volume phase.
![]() |
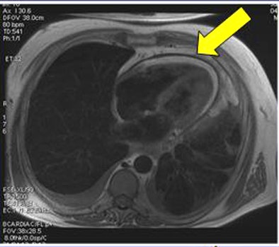
| Above, thickened pericardium at MRI in patient with constrictive pericarditis. Below calcification of the pericardium is seen as a signal loss in the affected region. All images courtesy of Dr. Maryam Ghadimi Mahani. |
![]() |
The filling fraction for each early diastolic phase was assessed by calculating the percent filling fraction (volume - end systolic volume/SV x 100) at four consecutive frames through early diastole. Additional findings were reported, including pericardial thickness ≥ 4 mm, pericardial calcification, pericardial effusion, tubular-shaped ventricles, septal bounce, delayed enhancement of the pericardium, etc.
"Septal bounce was seen in eight of 11 patients and was not seen in the normal cases," Mahani said. "Pericardial effusion was seen in two of the 11 patients, tubular-shaped ventricles were seen in two of the pericarditis patients, and pericardial thickness was 4 mm or greater in eight of 11 patients and was 4 mm in one of the normal group."
Pericardial calcification was seen in only one of the constrictive pericarditis patients.
There was no significant difference in the mean ejection fraction for both right and left ventricle in the two study groups, she said. The receiver operator characteristics (ROC) curve showed that the filling fraction was higher in the diseased group than in the normal group in the early diastolic phase.
![]() |
| The receiver operator characteristics (ROC) curve shows that the filling fraction is higher in the constrictive pericarditis group compared to normal patients. Above, filling fraction of the right ventricle in early diastole for normal subjects (pink) versus patients with CP (blue). |
"Based on our results, septal thickening has 72% sensitivity and 100% specificity for diagnosing restrictive pericarditis," Mahani said, similar to those in the literature showing 81% sensitivity and 100% sensitivity. On the other hand, pericardial thickness showed just 72% sensitivity and 92% specificity.
|
Early diastolic left ventricle (LV) filling was severely accelerated in patients with CP compared to the control group, and a similar pattern was seen in the right ventricle (RV).
|
MRI is superior for assessing pericardial anatomy and thickness, Mahani said. However, when assessing the role of imaging modalities in diagnosing CP, it's important to emphasize that severe constrictive physiology can occur in the presence of a diseased but minimally thickened pericardium, she said.
Pericardial thickening or calcification alone is not diagnostic of hemodynamically significant constrictive pericarditis, she said. The small sample size was the main limitation of the study.
Evaluation of early diastolic filling fraction in cardiac MRI can improve the diagnostic accuracy of constrictive pericarditis by increasing sensitivity, Mahani concluded.
By Eric Barnes
AuntMinnie.com staff writer
May 28, 2010
Related Reading
ACC task force releases 2010 policy on CTA, CMR, May 19, 2010
Coronary CTA edges CMR in a tight race, December 1, 2009
Cardiac magnetic resonance can assess at-risk myocardium after MI, June 5, 2009
Cardiac cath labs often activated needlessly for suspected STEMI, December 17, 2007
Pericardiocentesis safe, effective for rheumatoid pericardial effusion, December 18, 2006
Copyright © 2010 AuntMinnie.com






















