
Digital photographs of CT images taken with an iPhone can be used to predict the need to transfer patients with head injuries, preventing unnecessary patient transfers and reducing healthcare costs, according to research from Florida.
In a pair of retrospective studies presented at the American College of Emergency Physicians (ACEP) Research Forum in Las Vegas in September, a study team found that providing access to iPhone-captured digital photos of CT images would have improved the appropriateness of patient transfer decisions by neurosurgeons. A second study also determined that having access to the images significantly enhanced interobserver agreement on these transfer decisions.
In an effort to improve resource utilization at their urban level I trauma center (Orlando Regional Medical Center), the Orlando Health researchers sought to determine if the availability of digital images provided via an iPhone digital capture could improve the appropriateness of patient transfers. In a retrospective cohort study, the researchers identified all patients who were transferred from outside facilities in 2007 with reported intracranial pathology and who had accompanying images.
The archived images of the 88 cases in the study were displayed on a digital image monitor, and the iPhone was used to photograph one to three CT images per case. The number of photographs taken depended on the nature of the lesion.
Blinded to both the purpose of the study and to the clinical outcome of the head-injured patients, two independent neurosurgeons were given a brief history of the cases and the radiologist's description of the findings. The neurosurgeons were asked to fill out a form providing their transfer decisions based first on clinical data alone, and then after viewing the cell phone images.
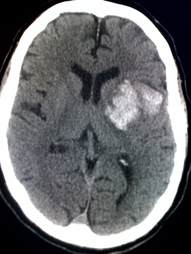
![]() |
| iPhone digital photo of head CT study. Image courtesy of Marcy Rosenberg, MD. |
Of the 88 cases included in the study, 43 (49%) required no intervention, 29 (33%) required a neurosurgical procedure, seven (8%) required specialized imaging, six (7%) required supportive measures, and three (3%) had nonsurvivable injuries, according to the researchers.
The group measured the change in unnecessary transfers (defined as requiring no intervention and nonsurvivable injuries) and the change in necessary transfers (defined by requiring specialized care or operative management).
"It actually helped both ways," said lead author Marcy Rosenberg, MD. "The patients that did not need neurosurgical intervention -- that would have done fine just staying at their original hospitals -- it reduced those number of patients. And the patients that actually needed neurosurgical intervention, they would have transferred more of them based on using the images."
For patients requiring transfer
|
For patients who required no intervention
|
"Obviously, an image is going to help a neurosurgeon make decisions better than just any kind of a description you can give them of that image," she said. "The key thing is that [providing these types of images] is enough to prevent unnecessary transfers, therefore leaving beds open for patients who actually need our neurosurgical intervention."
In a companion study, Orlando Health researchers sought to determine if iPhone digital images could improve a neurosurgeon's ability to triage patients appropriately and to increase inter-reader agreement on transfer decisions, said presenter Jay Ladde, MD. Using the same image datasets from the first study, the researchers emailed the cell phone images to two neurosurgeons via a secure e-mail address.
Again blinded to both the purpose of the study and to the clinical outcome of the patients, the two neurosurgeons were first given a brief history of the cases. After making a determination if the head-injured patients needed to be transferred to the trauma center, the neurosurgeons were then shown the cell phone images and asked again to provide their transfer decision.
|
Having access to the image altered the transfer decision in 25 (28%) of cases (p = 0.024) for neurosurgeon A and in 28 cases (32%) for neurosurgeon B (p < 0.001). Inter-observer agreement was also improved.
Prior to viewing the images, the two neurosurgeons agreed on their decision to transfer patients in only 53% of cases (κ = 0.11, p = 0.20). But after they reviewed the images, agreement climbed to 75% (κ = 0.47, p < 0.001).
Just as multiple other studies have shown, the images were adequate, Ladde said.
"And with the images, the neurosurgeons were better able to determine whether patients may not need to be transferred emergently urgently," he said. "And if they need to be transferred emergently urgently, they are better able to triage those patients to get them here."
With an overflow sometimes of patients needing neurosurgical care to some degree, it can be difficult to provide that care and to determine who needs more urgent care, Ladde said.
"If you look around the U.S., there are over 1 million people seeing the emergency department with head injuries, and 20% of those are hospitalized," he said. "That's a large number of patients that are being seen and a large number of patients that need care. And there's only a small percentage that really truly are going to need neurosurgical care. But any way that we can come up with to better serve those patients and make strides to reverse their head injuries would be most beneficial to them. And obviously, it's good healthcare."
By Erik L. Ridley
AuntMinnie.com staff writer
November 19, 2010
Related Reading
Is the iPad radiology's dream device for mobile healthcare? June 24, 2010
TEPR founder sees big role for small systems in healthcare, June 24, 2010
iPhone app sufficient for determining stenosis on CCTA, March 29, 2010
FDA action may rain on iPhone's medical imaging parade, March 23, 2010
Handheld devices show promise in emergency radiology, January 21, 2010
Copyright © 2010 AuntMinnie.com





















