
Contrast-enhanced digital mammography (CEDM) may be a cost-effective modality for additional diagnostic evaluation -- and, specifically, a viable substitute for breast MRI, according to a study published online April 5 in the American Journal of Roentgenology.
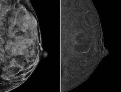
The findings are good news for a healthcare system burdened by inflated costs. Contrast mammography combines low-energy digital mammography images with contrast-enhanced subtracted images for better sensitivity and specificity than digital mammography alone.

The performance of contrast mammography is comparable to that of breast MRI, and it's almost 80% cheaper: The difference can be $950 for an MRI exam and $200 for a CEDM study, wrote a team led by Dr. Bhavika Patel of Mayo Clinic Hospital in Phoenix.
"Because use of CEDM improves lesion detection and increases overall specificity of screening mammography, it has potential as a substitute for breast MRI," the authors wrote. "If CEDM were deemed a viable substitute for breast MRI, at [present] current procedural terminology [CPT] codes and Medicare reimbursement rates, the savings would be approximately $750 per examination."
Viable substitute
Screening mammography is cost-effective but has its limitations, including low sensitivity in women with dense breast tissue. Breast MRI does not have this constraint, and its use in women considered to be at high risk for breast cancer has increased more than 20-fold, from 6.5 exams per 10,000 women in the year 2000 to 130.7 exams per 10,000 women in 2009, according to Patel and colleagues.
But breast MRI is expensive, which makes contrast mammography an attractive alternative, especially because CEDM also produces images that offer information on a lesion's vascularity (AJR, April 5, 2017).
To evaluate the cost savings of contrast mammography versus breast MRI, the researchers used 2015 Medicare diagnostic imaging cost data, which listed a screening MRI study with contrast at $586, plus $39 for 10 mL of contrast, $150 for computer-aided detection, and $179 for a regular digital mammogram, for a total of $954. A contrast mammography exam consisted of the cost of the mammogram plus 100 mL of contrast ($17), for a total of $196.
"Based on [these] Medicare rates, the cost of screening MRI is approximately four times that of CEDM," the researchers wrote.
Benefits of contrast mammography also include reduced exam time (seven to 10 minutes, compared with 30 to 60 minutes for a breast MRI study) and staff time (25 minutes versus 60 minutes). It's also more accessible to patients, the group wrote.
"One study showed that 30% of women in the United States live more than 20 minutes from the nearest breast MRI site, whereas 85% of women live within 20 minutes of mammographic services," Patel and colleagues wrote. "As a result, the relative ease with which CEDM can be implemented at sites that already have mammography units may result in increased access to contrast-enhanced imaging."

Real relief
Radiologists at Mayo Clinic Hospital have been using contrast mammography predominately for diagnostic purposes as they would breast MRI since 2014, Patel told AuntMinnie.com.
"We started using it as a problem-solving tool and found that our breast clinicians loved it, particularly surgeons," she said. "The ease of interpretation is amazing, compared to breast MRI. So our biggest referral base for CEDM is from surgeons."
Patel and colleagues also found that patients like CEDM as well.
"It's a relief for patients to be able to see the images right away, especially those women who are breast cancer survivors presenting for follow-up," she said. "For example, if they have persistent clinical concerns near the lumpectomy bed, it's very reassuring to show them if there is no associated enhancement in the CEDM images, despite their already negative diagnostic workup."