Contrast-enhanced mammography (CEM) has a slightly higher mean glandular dose (MGD) than other breast imaging modalities, according to research published January 15 in the American Journal of Roentgenology.
A team led by Jeremiah Sanders, PhD, from the Mayo Clinic in Phoenix, AZ, found that MGD per breast was higher for CEM than for full-field digital mammography or digital breast tomosynthesis (DBT) alone. However, it was also reported that the MGD of CEM was less than that of combined full-field digital mammography-DBT.
“These findings are relevant to ongoing considerations of the role of CEM in breast cancer screening pathways,” the Sanders team wrote.
Radiologists continue to explore the potential of CEM in clinical use, with previous studies highlighting the breast imaging modality’s boosted sensitivity and specificity compared to other such imaging methods. These studies also suggest that CEM could be a useful tool in imaging dense breasts, in which standard mammography struggles to image.
While previous research has compared the MGD between CEM, DBT, and full-field digital mammography, the researchers pointed out that these studies compared distinct groups of women and had small sample sizes.
Sanders and colleagues conducted a retrospective, intraindividual comparison of MGD between these three modalities, as well as a combined protocol using both DBT and full-field digital mammography in women undergoing breast cancer screening.
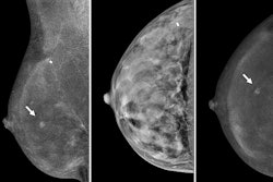
The final analysis included 389 women with a median age of 57.4 years who had an elevated risk of breast cancer. The women underwent breast cancer screening by combined mammography-DBT and CEM between 2019 and 2021. The team evaluated a total of 764 breasts (383 left, 381 right) and gathered MGD and BI-RADS data from DICOM metadata and radiology reports.
The team reported that CEM had a higher MGD per breast (combining craniocaudal and mediolateral views) than full-field digital mammography and DBT. However, it remained lower than that of combined mammography-DBT.
| Mean glandular dose (MGD) of breast imaging modalities | ||||
|---|---|---|---|---|
| Mammography | DBT | Combined mammography-DBT | CEM (overall) | |
| Median MGD (mGy) | 4.07 | 4.97 | 9.38 | 5.87 |
| Corresponding effective dose value (mSv) | 0.49 | 0.6 | 1.13 | 0.7 |
| Median MGD (Breast density category B) | 4.01 | 5.93 | N/A | 5.9 |
| Median MGD (Breast density category C) | 4.22 | 4.93 | N/A | 6.02 |
| Median MGD (Breast density category D) | 2.7 | 3.17 | N/A | 4.52 |
In terms of BI-RADS breast density categories, 306 women had BI-RADS C exams, 44 had BI-RADS B, 39 had BI-RADS D, and no women had BI-RADS A.
The study authors highlighted that the corresponding effective dose values in the study are “well below” annual background radiation exposure in the U.S., about 3.1 mSv.
They added that they did not explore the MGD of combined CEM-DBT, though they acknowledged that this combination could eventually become more commonplace.
“These two modalities provide complementary information, as supported by a recent study showing increased early cancer detection through the addition of CEM to DBT screening in women with a personal history of breast cancer,” the authors wrote.
The full study can be accessed here.




















