A new MRI scoring system shows promise for predicting early recurrence risk after surgical removal of solitary hepatocellular carcinoma (HCC) lesions 5 cm or smaller, according to a study published March 10 in Radiology.
The system, called the MRI-based Early Recurrence Individualized Score (MERIS), performed better for this indication compared with pathologic analysis-based prognostic systems, wrote a team led by Eun Sun Choi, MD, of the University of Ulsan College of Medicine in Seoul -- good news for patients with small HCC, who "may have unique recurrence risk factors not adequately captured by models trained for broader HCC populations."
Surgery is the first-line treatment for early-stage HCC, but recurrence occurs in up to 50% of patients two years postsurgery and up to 70% of patients five years out. That's why "accurate identification of patients at high risk of early recurrence is crucial because it can optimize surgical decision-making, guide patient selection for emerging perioperative therapies, and improve postsurgical outcomes," the investigators wrote.
Previous research has proposed MRI-based models for postsurgical prediction of HCC recurrence, but these models have been mainly developed using mixed populations of large and multiple tumors, which limits their applicability in patients with small solitary HCC, they noted. To address the problem, the group developed and trained the MERIS system and tested its ability to predict early recurrence of small HCC compared with a pathologic analysis-based model.
Choi's team used Multivariable Cox regression analysis to predict time-to-early-recurrence (that is, within 2 years) and assessed the MERIS model's performance in comparison to pathology analysis using the c-index. The study included 325 patients with solitary HCCs 5 cm or smaller who underwent gadoxetic acid-enhanced liver MRI; data from 204 individuals were put into a training set and from 121 individuals into an external test set.
The MERIS system integrated the following features associated with early HCC recurrence:
- Elevated aspartate aminotransferase (hazard ratio [HR], 2.7; p = 0.006)
- Tumor size (HR, 1.51; p = 0.01)
- Non-smooth tumor margin (HR, 2.12; p = 0.04)
- Peritumoral hepatobiliary phase hypointensity (HR, 2.97; p = 0.002)
The group reported the following:
Performance of MERIS system for predicting recurrence of small HCC | |||
Measure | Training set | External test set | p-value |
| Predictive performance (c-index) | 0.75 | 0.75 | -- |
2-year recurrence-free probabilities | |||
| High risk patients | 69.5% | 59.3% | < 0.001 |
| Low risk patients | 91.4% | 87.4% | < 0.001 |
Finally, it reported that MERIS outperformed the pathologic analysis-based systems (p < 0.03) in the external test set.
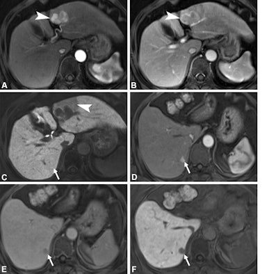
Axial gadoxetic acid-enhanced MRI scans in a 63-year-old woman with recurrent hepatocellular carcinoma (HCC) at 18 months of follow-up and a high MRI-based Early Recurrence Individualized Score (score of 11) show a 4-cm hepatic mass in liver segment 3. (A) Prominent arterial-phase hyperenhancement (arrowhead) is noted with (B) enhancing capsule (arrowhead) in the portal venous phase, consistent with HCC. (C) Hepatobiliary phase image shows nonsmooth tumor margins with wedge-shaped peritumoral hypointensity (arrowhead). The preoperative serum aspartate aminotransferase level is 32 IU/L, higher than the cutoff determined by the Youden index (29.5 IU/L). Partial hepatectomy was performed, and pathologic analysis showed conventional HCC with P53 overexpression but no microvascular invasion. The patient’s Pathology-based Early Recurrence Individualized Score is 8. At the 18-month follow-up, the arterial-phase gadoxetic acid-enhanced MRI scan shows a new focus of arterial hyperenhancement in segment 7 (arrow in D) that was absent on the preoperative MRI scan (arrow in C). The lesion shows portal venous phase washout (arrow in E) and a corresponding hepatobiliary phase defect (arrow in F), consistent with recurrent HCC.RSNA
The takeaway? "By enabling more precise preoperative risk stratification, MERIS has the potential to optimize surgical planning, transplant selection, and perioperative therapeutic strategies," the authors concluded. "Prospective validation in broader populations is warranted to confirm its generalizability and to further define its role in guiding treatment selection and clinical decision-making."
Click here for the full study.




















