
CHICAGO - X-ray and MRI imaging results have shown a link between corticosteroid injections and worsened knee arthritis, according to two studies presented November 29 at the RSNA annual meeting in Chicago.
The respective presentations, led by researchers from the University of California, San Francisco and the Rosalind Franklin University of Medicine and Science in Chicago discovered that progression of osteoarthritis in the knee on x-ray and whole-organ MRI in patients who received corticosteroid treatment.
Some patients with osteoarthritis in the knee elect to undergo noninvasive treatment for pain relief. These include either corticosteroid or hyaluronic acid injections. But there's debate among clinicians on the effect of such injections in the long run.
Researchers in both studies chose patient populations from the Osteoarthritis Initiative, a study of nearly 5,000 participants with knee osteoarthritis. The initiative is in its fourteenth year of follow-up.
For the first study, a group led by Dr. Upadhyay Bharadwaj of the University of California included data from 210 patients. Out of these, 70 received intra-articular injections over a two-year period, while a control group of 140 received no injections. For study participants who received injections, 44 had corticosteroids while 26 had hyaluronic acid.

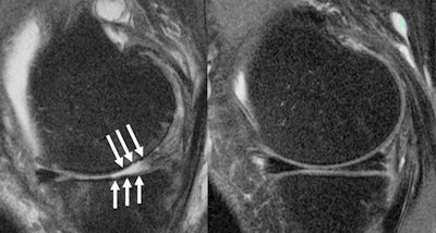
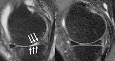
The team found significant ties between corticosteroid injection and postinjection progression of whole-organ MRI scores over two years for the knee overall, lateral meniscus, lateral cartilage, and medial cartilage.
However, the study authors found no such links between either injection type and pain progression, as well as progression of MRI scores over the two years prior to injection.
In the second study, the Rosalind Franklin team, led by Azad Darbandi, evaluated results from 150 patients with similar baseline characteristics. This included 50 patients who received corticosteroid injections, 50 who received hyaluronic acid injections, and 50 who were not injected within a 36-month period.
The patients underwent x-ray imaging at baseline and at 48 months. The team used the Kellgren and Lawrence grading system, which classifies the severity of osteoarthritis using a zero-to-four grading scale (with zero indicating absence of arthritis and four indicating severe disease).
Darbandi and colleagues found the following average grades for each subgroup: corticosteroid group, 2.79; hyaluronic acid group, 2.11; and control group, 2.37. Medial compartment joint space narrowing was highest in the corticosteroid group, at 1.56.
The investigators suggested that hyaluronic acid injections are preferred over corticosteroids for osteoarthritis management, citing the lack of radiographic progression seen in these patients.