
Researchers from Ohio used functional MRI (fMRI) scans to measure the effectiveness of a neurofeedback therapy that could be used to help individuals with tinnitus, or a prolonged sound or ringing in the ears. Results of the study were presented on November 27 at the RSNA 2017 meeting.
Tinnitus is the perception of persistent noise such as ringing in the ears, and as many as one in five people experience the condition. Individuals with tinnitus often focus on the noise, which can make the condition seem worse.
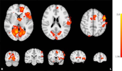
The source of tinnitus has been linked to the primary auditory cortex, the part of the brain where sounds are processed. So researchers from Wright State University in Fairborn, OH, led by Matthew Sherwood, PhD, decided to study the use of fMRI echo-planar imaging (EPI) scans of this brain region to measure the effectiveness of a therapy designed to distract tinnitus sufferers from the noise.
The researchers assembled a cohort of 18 healthy volunteers with normal hearing who agreed to undergo five fMRI neurofeedback sessions. The volunteers received earplugs that blocked out scanner noise but also made possible the introduction of white noise for short periods of time.
The neurofeedback exercise involved exposing the volunteers to alternating periods of white noise while they watched their own brain activity as it was acquired with the fMRI scans, represented by a bar on a screen that measured brain activity. Each training run consisted of a 30-second "relax" period followed by a 30-second "lower" period, in which individuals were asked to try to lower the bar by decreasing activity in their primary auditory cortex.

The volunteers were instructed in techniques designed to reduce brain activity, such as diverting attention from sounds to other sensations like touch and sight. The fMRI scans indicated that the volunteers were able to reduce brain activity through the techniques.
Results from the 18 individuals were then compared with those from a control group of nine people who were given sham neurofeedback: They performed the same attention-diversion tasks, but the bars they were trying to reduce came from a random study participant. This allowed the researchers to see the actual effects of the neurofeedback technique on the primary auditory cortex.
The researchers believe the study represents the first time that fMRI-based neurofeedback training has been used to show there is a significant relationship between control of the attention process and the primary auditory cortex. Ultimately, they hope to develop a neurofeedback program that individuals with tinnitus can use that doesn't require an fMRI scanner, such as with an app or a home-based therapy.