
By combining anatomic MR images of the stomach with functional MR images (fMRI) of brain activity, Dutch researchers have shown how the stomach tells the brain it's full during a meal -- and how drinking more water can alter this communication channel.
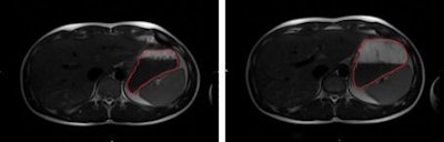
Researchers from Wageningen University in the Netherlands collected data from 19 subjects during two separate sessions in which participants were asked to drink a milkshake on an empty stomach, followed by a small (50 mL) or large glass of water (350 mL). MRI was used to see how the different amounts of liquid affected distension of the stomach. The researchers also collected information on the patients' feelings of fullness and measured brain activity using fMRI.
The MRI scans showed that drinking the large glass of water doubled the stomach content compared to the smaller glass. In addition, subjects reported feeling fuller and less hungry after drinking the larger amount of water. Lead author Guido Camps and colleagues also found that brain activation increased with greater distention of the stomach.

This new approach of obtaining information simultaneously on the brain, stomach, and subject-reported feelings could lead to new insights; for example, brain activation in the midtemporal gyrus appeared to be influenced by the increase in water, according to the Society for the Study of Ingestive Behavior (SSIB).
"Combining these types of measurements is difficult because MRI scanners are usually set up to perform only one type of scan," Camps said in a release from the society. "We've been able to very quickly switch the scanner from one functionality to another to do this type of research."
The researchers developed the combined MRI method as part of the European Nudge-it research project, which is designed to promote healthier eating. They plan to use the technique to search for a brain signature associated with the decision to stop eating, investigating how approaches such as drinking more water could help with eating less.
Based on their findings, the group concluded that adding water increases distension of the stomach, while also increasing regional brain activity and curbing short-term appetite.
The results will be presented this week at the SSIB annual meeting being held in Porto, Portugal.