
It was a year in which the COVID-19 pandemic dominated our lives, and that impact was evident in the list of the top 10 radiology stories on AuntMinnie.com for 2020. Articles about the novel coronavirus outbreak occupied six of the 10 spots in our list of most popular stories, based on member views.
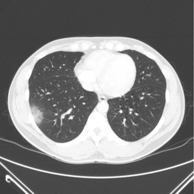
Occupying the top spot was a story on how signs of COVID-19 can be visualized on CT scans of patients who originally presented with respiratory diseases other than COVID-19. The article highlights the insidious nature of SARS-CoV-2 infection, with the disease often spreading without the knowledge of those being infected.
Other top pandemic-related stories included an article on a mask-wearing patient who sustained facial burns during an MRI scan, a review of the use of radiography for COVID-19 detection, and a story on best practices radiology departments should follow in managing patients suspected to be infected with the SARS-CoV-2 virus.
Outside of the pandemic, articles on radiologist salaries, reimbursement changes for medical imaging exams, a case of a patient who apparently swallowed a needle during a dental exam, and MRI for Parkinson's disease also scored highly.
So without further ado, here are the top 10 articles on AuntMinnie.com for 2020:
- COVID-19 can be seen on CT scans outside the chest 
 Published just a few months into the pandemic, our top story for the year demonstrated how radiologists continued to learn about the clinical presentation of COVID-19 as they saw more patients. Researchers from the University of Maryland presented research May 11 in Radiology from 119 patients who presented to the emergency room with symptoms other than respiratory distress but were later found to have findings that were suspicious for COVID-19. 
- FDA issues face mask warning for MRI exams
Our second most-viewed story for the year illustrates how, in 2020, you're damned if you do and damned if you don't. A patient who wore a face mask to prevent COVID-19 infection during a 3-tesla MRI scan sustained facial burns due to metal fibers in the mask. The incident prompted a December 7 advisory from the U.S. Food and Drug Administration. 
- Radiologist salaries crash through $400k barrier 
Bread-and-butter issues like compensation and benefits have always been popular with the AuntMinnie.com membership, so it's no surprise that coverage of our SalaryScan 2020 results was the top non-COVID story of the year. Data from the survey showed that the average base salary for radiologists regardless of subspecialization was higher than $400,000 for the first time. Some subspecialists -- like those in breast imaging -- made even more. 
- CMS finalizes major cut in radiology reimbursement
See above, regarding bread and butter issues. This article by our partners at medical billing and coding firm Healthcare Administrative Partners analyzed the impact on radiology of reimbursement cuts that would result from the Medicare Physicians Fee Schedule for 2021. Fortunately, those cuts appear to have been averted by provisions inserted into the massive federal spending bill passed by the U.S. Congress this week. 
- How good is radiography for COVID-19 detection?
After a brief detour through practice economics, our top 10 circles back to COVID-19 for the fifth most-viewed story of the year. This article reviewed some of the most current research available as of early April into the usefulness of radiography for COVID-19 detection. The verdict? X-ray can be useful if you know its limitations, and nothing beats the convenience of being able to move a portable radiography system directly to the patient's bedside. 
- CT confirms 3-cm swallowed dental needle in patient's neck 
 Radiologists don't usually interpret dental x-rays, but the novelty of this case won the interest of our readers. A 29-year-old woman in Qatar accidentally swallowed a 3-cm needle -- most likely during a dental procedure -- and CT was employed to locate it after she reported experiencing neck pain, according to a report in the April issue of Journal of Dental Anesthesia and Pain Medicine. The 3D-reconstructed images from the case are particularly striking. 
- Radiologists distinguish COVID-19 pneumonia on CT
This article was published during the early days of the COVID-19 pandemic, and it highlights how medical imaging was able to help diagnose patients when early tests with reverse transcription polymerase chain reaction (RT-PCR) were unreliable and slow to produce results. In a paper that ran March 10 in Radiology, radiologists showed that they were able to differentiate COVID-19 from other types of viruses based on the presentation of the disease on lung CT scans. 
- Radiology experts list COVID-19 best practices
- MRI reveals brain changes from Parkinson's disease 
 And now for something completely different. Our ninth most-viewed story of the year covered a study published in the February edition of the Journal of Neurology, Neurosurgery, and Psychiatry on quantitative susceptibility mapping, an MRI technique that was used to reveal signs of iron deposition in patients with Parkinson's disease. Researchers from the U.K. felt that the signals could be a biomarker for Parkinson's disease, with both clinical and research applications. 
- Imaging confirms coronavirus transmits from mother to fetus
Our top 10 for 2020 is rounded out by this eye-opening article on a study published March 26 in JAMA Pediatrics in which researchers from China found that 10% of pregnant women transmitted the SARS-CoV-2 virus to their fetuses. The authors advised that pregnant women be screened and that strict infection control procedures be followed to prevent transmission to neonates. 

One of the biggest challenges of the COVID-19 pandemic for radiology departments goes beyond just clinical identification of the disease. How should radiology departments handle potentially infectious patients while keeping staff safe? When should imaging be used, as opposed to diagnostic lab tests? And how can staff remain prepared for surges in patient volume? In an article published March 16 in Radiology, experts addressed efforts to deal with all of these questions.























