
NEW ORLEANS - Coronary CT is very effective at pinpointing which patients with acute chest pain and a low-to-intermediate risk of acute coronary syndrome do not have coronary artery disease and can safely be discharged directly from the emergency department, researchers reported at this week's American Heart Association (AHA) annual meeting.
"In patients with acute chest pain who are at low-to-intermediate likelihood of acute coronary syndrome, CT can be very effective for early triage," said Dr. Udo Hoffmann, director of the cardiac MR-PET-CT scan program at Massachusetts General Hospital in Boston.
In his presentation on Monday, Hoffmann said that in "up to 50% of patients, CT found no disease at all. The absence of coronary artery disease enables their early and safe discharge from the emergency department."
Six million Americans with chest pain present to the emergency department annually, he said. "Currently ECG, initial biomarkers, clinical presentation, and traditional risk factors do not allow safe triage."
The new study was designed to determine the usefulness of coronary CT angiography for the early triage of patients with acute chest pain but an inconclusive initial emergency department evaluation.
The single-center, double-blind, observational-cohort study involved 368 consecutive patients with acute chest pain but normal initial troponin levels and no evidence of myocardial ischemia on initial ECG.
All patients underwent 64-slice contrast-enhanced coronary CT angiography (Siemens Healthcare, Malvern, PA) prior to hospital admission. Both caregivers and patients were blinded to the results of the examination.
Of the total, 185 patients (50.4%) had neither plaque nor stenosis. Another 115 patients (31.2%) showed evidence of nonobstructive plaque. In 68 patients (18.4%), significant stenosis was detected or not excluded.
"No patient without plaque had acute coronary syndrome," Hoffmann said. However, seven patients with nonobstructive plaque and 24 patients in whom significant stenosis was detected or not excluded had acute coronary syndrome.
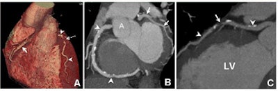
![]() |
| A 40-year-old man who presented three hours after the onset of substernal chest pain had inconclusive initial evaluation in the emergency department; troponin was positive eight hours after presentation. Following CT angiography showing an 80% stenosis in the mid-left anterior descending artery, the patient underwent invasive coronary angiography, stenting. Images courtesy of Dr. Udo Hoffman. |
Use of the presence of any plaque as triage criterion was associated with 100% sensitivity, 100% negative predictive value, 54% specificity, and 17% positive predictive value for acute coronary syndrome, he said.
Use of the presence of more than 50% stenosis as a triage criterion had 77% sensitivity, 98% negative predictive value, 87% specificity, and 35% positive predictive value for acute coronary syndrome.
The results of Hoffman and his team's blinded study are in line with reports from other single-center studies, including a recent trial from the University of Pennsylvania that found no acute coronary syndromes at follow-up in patients discharged with a negative CT scan. Another study, from Harbor-UCLA Medical Center in Torrance, CA, found that the presence of coronary atherosclerosis on CT angiography independently predicted mortality and had significant incremental value over clinical risk factors and coronary artery calcium score.
Yet many hospitals remain reluctant to embrace coronary CT as the standard of care for ruling out coronary artery disease pending the publication of large, blinded, and randomized multicenter trials that echo the findings of available single-center reports.
"This is the first large, prospective, blinded study to show that it is safe to discharge patients with no signs of plaque or stenosis on coronary CT angiography," Hoffmann said. "However, we need to get better at identifying patients with stenosis in smaller vessels with future generations of CT scanners."
By Charlene Laino
AuntMinnie.com contributing writer
November 11, 2008
Related Reading
CT angiography aids risk stratification in patients with chest pain, November 3, 2008
ACRIN study: Cardiac CTA cheaper, more effective for chest pain triage, October 14, 2008
Flexibility of 320-slice CT boosts cardiac imaging options, October 3, 2008
Coronary CTA cheaper for chest pain than standard care, September 19, 2008
Coronary CTA cuts costs for chest pain care, February 29, 2008
Copyright © 2008 AuntMinnie.com



















