
Among symptomatic older patients, virtual colonoscopy found more extracolonic abnormalities with IV contrast than without, according to a study presented at the 2005 European Congress of Radiology (ECR) in Vienna.
VC detected abnormalities in 89% of the patient cohort overall, including one-third that were of high clinical importance, said Dr. Adrian Spreng from the radiology department of the University of Bern Inselspitel in Bern, Switzerland.
Virtual colonoscopy has been shown to detect significant extracolonic abnormalities in previous studies, he said, but the contribution of IV contrast enhancement, which has been used occasionally in the procedure, is unknown.
"The aim of our study was to compare the clinical importance of extracolonic findings to IV contrast-enhanced CT colonography (VC) with studies at nonenhanced CTC," Spreng said.
The study examined 102 consecutive patients, including 72 who underwent virtual colonoscopy following administration of IV contrast (iopromide containing 300 mg/mL iodine, 3 mL/sec flow rate, 60-second scan delay). Thirty patients with contraindications for iodinated contrast underwent unenhanced CT.
Following standard bowel preparation and colonic insufflation, images were acquired using a four-detector scanner using 4 x 2-mm detector collimation, 120 kVp, 0.75-second gantry rotation, 200 mAs, a pitch of 1.375, and 1-mm overlapping reconstructions. Axial CT images were reconstructed as 2-mm slices with a 1-mm reconstruction interval.
"The evaluation was done according to the presence of extracolonic findings or not, and if there was one, we divided them into different importance systems" of high, medium, or low clinical importance, Spreng said.
At virtual colonoscopy a total of 320 extracolonic abnormalities, mainly gastrointestinal, urogenital, and vascular, were detected in 91/102 (89%) of patients. These included 33/102 (32%) patients with findings of high clinical importance, such as hepatic lesions (n = 9), aortic aneurysm (n = 8), adrenal mass (n = 7), and enlarged lymph nodes (n = 7), Spreng reported.
"This is an example of metastasis of ovarian carcinoma to the right psoas muscle," he said of a CT image projected on a screen. "In the same patient we can see thrombosis of the right femoral vein due to compression of this metastasis. The metastasis was successfully treated with surgery and femoral vein with heparin.... This is an example of an aortic aneurysm inflamed with an aortic duodenal fistula, which has been successfully treated in an emergency operation."
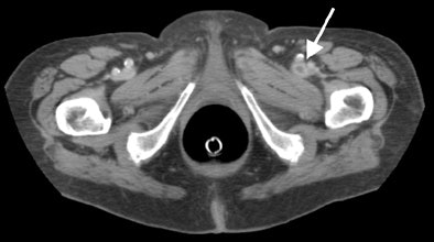
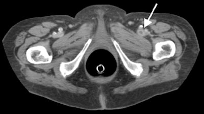
![]() |
| A 76-year-old patient with thrombosis of the left femoral vein that was detected on IV contrast-enhanced CT colonography, and successfully treated with heparin. Image courtesy of Dr. Adrian Spreng and Dr. Hanno Hoppe. |
The extracolonic findings in 27% (28/102) of all patients led to further workup or had an impact on therapy. Of the patients with extracolonic findings on IV contrast-enhanced VC, 33% (24/72) were referred for additional workup or imaging. On the other hand, only 13% (4/30) of the patients with findings on noncontrast CT colonography were referred for additional workup, Spreng said.
Findings of moderate importance were seen in 45% of the patients, and included gallstones (n = 14), pleural effusion (n = 11), ascites (n = 10), and cardiomegaly (n = 5). Findings of low importance were seen in 71% of the patients, and included aortic sclerosis (n = 33), renal cysts (n = 27), and hepatic cysts (n = 15).
Clinically important findings detected with contrast-enhanced VC led to additional diagnostic or therapeutic considerations in 23% (23/102) patients overall. The symptomatic cohort, and their examination with contrast-enhanced VC, are likely to explain the high prevalence of extracolonic findings, he said.
"Our study showed that IV contrast-enhanced CT colonography showed more extracolonic findings, and also substantially more extracolonic findings were seen in contrast-enhanced CT scans which were leading to further workup," Spreng said.
In an e-mail message to AuntMinnie.com, lead investigator Dr. Hanno Hoppe noted that "future studies must determine whether the added risks and cost of IV contrast medium preclude its use as part of CT colonography screening protocols for large populations."
By Eric Barnes
AuntMinnie.com staff writer
April 11, 2005
Related Reading
Panoply of VC studies yields significant extracolonic findings, March 23, 2005
Diagnostic, screening VC comparable in extracolonic disease detection, December 6, 2004
Virtual colonoscopy picks up flat lesions, November 15, 2004
Even low-dose VC yields extracolonic findings, September 21, 2004
In VC, extracolonic findings offer valuable information at little extra cost, June 3, 2002
Copyright © 2005 AuntMinnie.com





















