Non-Hodgkins Lymphoma:
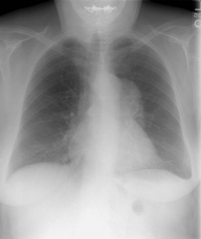
The patient below was a 57 year old female who presented with complaints of weight loss. A chest radiograph demonstrated an aortopulmonary window mass (best seen on the PA chest radiograph) and a left sided pleural effusion. (Click here if you would like to view the lateral chest radiograph). A CT scan of the chest was performed to evaluate this finding.
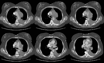
The chest CT demonstrated a large, low density mass in the aortopulmonary window, as well as the presence of subcarinal and left hilar adenopathy. There is a large left sided pleural effusion. At surgery the patient was found to have a Non-Hodgkins B-cell lymphoma.





