Recurrent T-cell Lymphoma in the Lungs:
(Click on the small images to view the larger radiographs)The patient shown in the radiographs below had a history of polycystic
kidney disease and gastrointestinal lymphoma. He presented with complaints
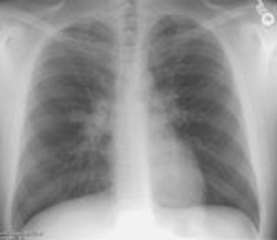
of cough. A PA chest radiograph revealed too-numerous-to-count poorly defined
pulmonary nodules.

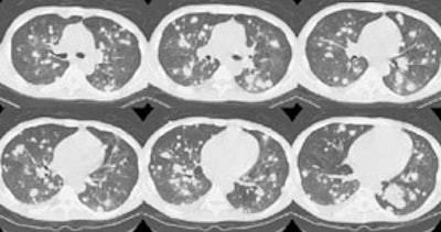
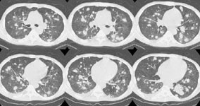
A chest CT also demonstrated the nodules - some of which were distributed along the bronchovascular interstitium, while others were more random. At biopsy, the lesions were found to be recurrent T-cell lymphoma.





