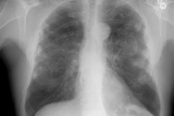
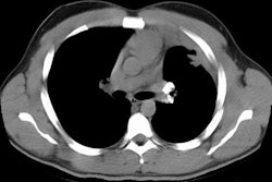
Thesaurosis:
Clinical:
Thesaurosis is associated with the inhalation of hair spray and it is especially common in beauticians. The radiologic features are indistinguishable from sarcoid and some pathologists believe thesaurosis is not an independent entity, but merely sarcoid.




