Pleural plaque disease
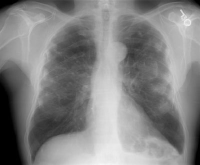
The case below demonstrates extensive pleural plaque disease in a patient with a history of asbestos exposure:
(Click CXR to enlarge)


The case below demonstrates extensive pleural plaque disease in a patient with a history of asbestos exposure:
(Click CXR to enlarge)

