CHICAGO -- Following through with regular mammograms is the “very best insurance” for the prevention of advanced, life-threatening breast cancer, according to research presented November 30 at the RSNA meeting.
Robert A. Smith, PhD, American Cancer Society.
Data gleaned from nearly 25 years of screenings showed a correlation-to-survival trend and suggested that it's important for imaging centers to not only manage cancelations but also improve scheduling, according to the study’s author, Robert Smith, PhD, of the American Cancer Society's (ACS) Center for Cancer Screening in Atlanta.
“Women who attended all five previous mammography examinations prior to a diagnosis of breast cancer were nearly three times less likely to die from breast cancer compared with women who had not attended any examinations, and each additional examination attended among the five previous examinations conferred an additive protective effect against dying from breast cancer," Smith noted in a statement released by the RSNA, also on November 30.
Barriers to women getting their recommended mammography screenings may involve obstacles such as difficulty getting time off of work, family care issues, cost, access, conflicting guidelines, or a lack of awareness. However, breast cancer mortality is significantly reduced when women regularly attend screening mammograms, according to Smith and his team’s research.
For their study, Smith and colleagues used Swedish regional oncology center data from between 1992 and 2016 to identify mammography screening attendance trends for 37,079 women with breast cancer; the group correlated screenings to 4,564 breast cancer deaths that occurred during the data time frame, then tracked all the women’s participation in five or fewer most recent invitations for breast cancer screening prior to cancer diagnosis.
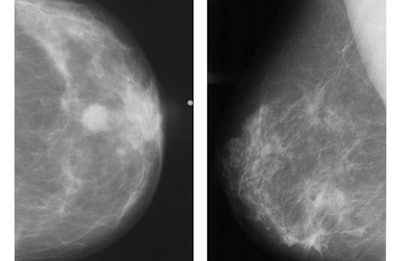
Abnormal mammogram, left. Normal mammogram, right. Images and caption courtesy of RSNA.
Women who attended all their invited screening mammograms had a survivability rate of over 80%, while those who didn’t participate in any screenings had a survival rate that ranged from 59.1% to 77.6%, Smith’s team noted. Further, women who attended all five screening mammograms saw a 72% reduction in the risk of dying from breast cancer compared with women who didn’t participate in any screening mammograms.
The study results are consistent with recent findings of a greater mortality reduction for those who participated in both their most recent scheduled screens, and indicate that for those who develop breast cancer, regular participation in screening considerably improves the probability of surviving it, the authors wrote.
The researchers stressed that imaging facilities should prioritize getting patients in for screening at the earliest opportunity. In addition, the importance of regular attendance in mammography screening should be clearly articulated in breast cancer screening messaging.
“The purpose of mammography is to detect breast cancer during the few years it can be seen on a mammogram, but before symptoms are apparent,” Smith said.




















