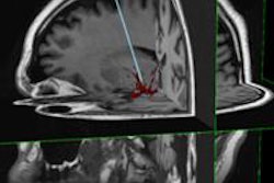
MRI Interventions announced that the neurological surgical team at University of Kansas Medical Center performed the first stereotactic laser ablation of the hippocampus using the company's ClearPoint Neuro navigation system.
The procedure occurred on a 22-year-old presenting with medically intractable seizures, which have since stopped.
The ClearPoint system enables minimally invasive neurosurgery under continuous MRI guidance, according to the company.



















