
Concordance between imaging results and histology results after biopsy is essential to avoid a breast cancer diagnosis delay. At stereotactic or ultrasound-guided biopsy, imaging-histologic discordance leads to surgical excision.
In the October American Journal of Roentgenology, Dr. Jun-Ming Lee and colleagues looked at the rate of imaging-histologic discordance on MRI-guided biopsy. They found that the mismatch between MR biopsy results and cancer rates was significant, and offered suggestions on how to reduce that discordance.
For the retrospective study, Lee's group included 342 lesions in 326 women. The majority (311) were solitary nodules. Also, 48% of the patients were referred to MRI for high-risk screening.
"MRI-guided vacuum-assisted biopsy is considered the method of choice for solitary lesions that are accessible to the procedure," explained the group from Memorial-Sloan Kettering Cancer Center in New York City (AJR, October 2007, Vol. 189:4, pp. 852-859).
Biopsies were done with a 9-gauge MRI-compatible vacuum-assisted device (ATEC, Suros Surgical Systems, Indianapolis) while the patient was in a prone position in the 1.5-tesla magnet (Signa, GE Healthcare, Chalfont St. Giles, U.K.).
Images from MR studies done before tissue acquisition were reviewed to determine if the target was excised, sampled, or missed. If histologic findings confirmed imaging findings, the results were considered concordant. They were deemed discordant if no correlation was found between the two.
"We noted a trend toward higher cancer rate among discordant lesions at MRI-guided vacuum-assisted biopsy in our study (30% cancer) as compared with discordant lesions at stereotactic or sonographically guided biopsy in prior reports (14% cancer)," the authors stated.
![]() |
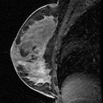
| A 63-year-old asymptomatic woman with family history of breast cancer who had abnormal right breast at MRI performed at outside facility. In sagittal T1-weighted contrast-enhanced image obtained after biopsy and clip placement at MRI-guided vacuum-assisted biopsy, lesion shows washout of contrast material, but no definite biopsy site changes are appreciated on this image. |
![]() |
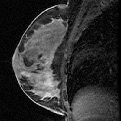
| Sagittal T1-weighted contrast-enhanced image after biopsy and clip placement shows signal void from marker in retroareolar region (arrow) in this image obtained during same sequence but just lateral to slice seen in top image. Histologic analysis of material obtained at MRI vacuum-assisted biopsy yielded benign breast parenchyma with dense stromal fibrosis, discordant with imaging. |
Discussing their results in detail, they found that out of 342 lesions that underwent MRI-guided biopsy, discordant results were encountered in 24 lesions (7%), which was higher than the 3% previously reported with other biopsy methods. The median lesion size on MR was 1.2 cm, and the lesion type was a mass in most of the cases (54%).
This 7% versus 3% rate may be attributed to various reasons, the authors suggested, including the higher cancer risk status of women undergoing MRI-guided biopsy, the relative newness of the technique, and the variability of enhancement during the menstrual cycle.
Additionally, discordance was present in six of 14 lesions in which the target was missed, 17 of 236 lesions in which the target was sampled, and one of 92 lesions in which the target was excised. Not surprisingly, that discordance was more likely if the MRI target lesion was missed rather than sampled. However, there was also a trend toward higher discordance if the target was sampled rather than excised, the authors noted.
![]() |
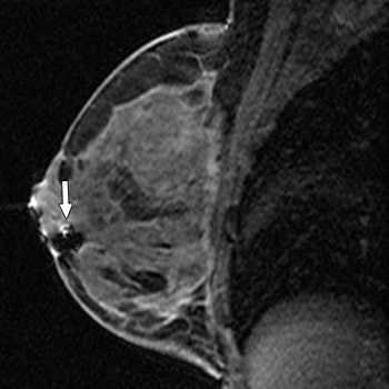
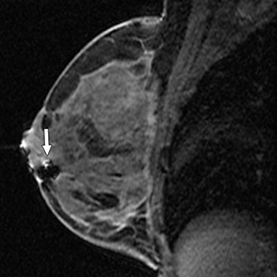
| Same patient as above. Sagittal T1-weighted MR image after needle localization shows signal void from placement of three MRI-compatible bracketing wires (arrows) to assist surgeon in wide excision. Histologic analysis revealed extensive multifocal ductal carcinoma in situ (DCIS), micropapillary, flat (clinging), and focally solid types, intermediate nuclear grade, arising in background of atypical ductal hyperplasia, with multiple positive margins. Mastectomy was performed, yielding residual DCIS with negative sentinel nodes. Lee J, Kaplan JB, Murray MP, Bartella L, Morris EA, Joo S, Dershaw DD, Liberman L, "Imaging-Histologic Discordance at MRI-Guided 9-Gauge Vacuum-Assisted Breast Biopsy" (AJR 2007; 189:852-859). |
These differences in target lesion sampling are most likely due to technical reasons. "In stereotactic biopsy ... specimen radiography can confirm lesion sample. Demonstration of target sampling is more difficult after (MRI-guided) biopsy.... Specimen MRI cannot confirm lesion sample because the lesion enhances only in vivo," they explained.
Surgery yielded six cancers in 20 discordant lesions (30%), including ductal carcinoma in situ (DCIS) and invasive cancer. The median size of invasive cancer was 0.4 cm.
For their colleagues who are considering incorporating MRI-guided breast biopsy into their practices, Lee's group offered several tips:
- Procedures should be performed by radiologists with experience in imaging-histologic correlation.
- The biopsy cavity should be flushed or aspirated, and injected with additional contrast after tissue acquisition to assess residual enhancement on MR.
- All images from the biopsy should be reviewed with preprocedure MRIs.
Finally, they recommended complete removal of the MRI target to potentially reduce the likelihood of discordance, although they cautioned that this complete target removal does not ensure the total removal of the histologic process.
"The biopsy report should not be finalized until histologic analysis is complete; the radiologist can then dictate an addendum indicating the histology results, presence of concordance or discordance, and management recommendations," they stated.
By Shalmali Pal
AuntMinnie.com staff writer
September 24, 2007
Related Reading
Presence of invasive cancer may cause MR-guided biopsy to miss DCIS, August 16, 2007
MRI may aid diagnosis of ductal carcinoma in situ, August 10, 2007
MRI beats US for breast screening of at-risk women, but yields more biopsies, August 6, 2007
Spring-loaded biopsy poses potential hazard of artificial tumor spread, December 27, 2006
Larger lesions on breast MRI equal greater chance of cancer, September 8, 2006
Copyright © 2007 AuntMinnie.com






















