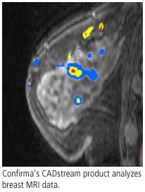
CAD software developer Confirma plans to highlight CADstream, its breast MR image processing CAD technology. The Kirkland, WA-based company introduced its next-generation CADstream in May.

SureLoc now reports needle position for both grid and pillar methods in real-time, and displays images and needle position in the patient's orientation. CADstream's remote user interface, CADalyst, allows MRI studies to be read anywhere within a high-speed network. It also includes an adaptive registration (2D/3D) algorithm.
In August, Confirma signed a three-year agreement with Insight Health to provide CADstream to selected locations within InSight Health's network of 239 fixed-site and mobile facilities. More than 200 imaging centers worldwide now use CADstream, according to Confirma.
By Kate Madden Yee
AuntMinnie.com contributing writer
November 17, 2005
Copyright © 2005 AuntMinnie.com




















