Image visualization software firm Imago Systems has signed a multiyear agreement with the Mayo Clinic that includes financial and clinical trial support for the company's ICE Reveal software for breast imaging.
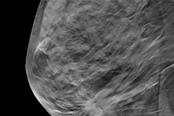
ICE Reveal features algorithms designed to transform grayscale images such as mammograms into more clearly defined, visually apparent, and qualitatively distinct patterns. The Mayo Clinic will spearhead Imago's pilot and pivotal studies to clinically validate the visual intelligence software as applied to screening mammograms, the company said.
The Mayo Clinic has a financial interest in the technology, and it will use revenue it receives from the platform to support patient care, education, and research, Imago noted.




















