
Early MRI in Olympic athletes -- before they even arrive at the competition site -- can identify bone stress injuries and thus help clinicians better treat elite athletes during competition, an August 10 BMC Musculoskeletal Disorders study has found.
It's crucial to identify and evaluate athlete musculoskeletal health before elite competition, wrote a team led by Dr. Takuya Adachi of Tokyo Medical and Dental University in Japan.
"Early MRI examination of symptomatic athletes, even before their arrival at the [Olympic] Games, could reduce the risk of withdrawal and stress injury progression," the group noted.
Bone stress injury is common in athletes of all ages and skill ranges, not just Olympic competitors, and it is caused by the repetitive stress on the bone during training rather than traumatic episodes, according to the researchers. It is classified into stress reaction and stress fracture; the former can lead to the latter if untreated, as well as increase long-term risk of osteoporosis.
"High-intensity training is unavoidable for Olympic athletes, meaning that delayed diagnosis can result in the progression of the MRI grade of bone stress injury," the researchers explained. "According to the literature, the longer the time between symptom onset and diagnosis of the stress fracture, the longer the recovery time."
Musculoskeletal injury and imaging are ubiquitous in elite competition. In fact, early estimates showed that more than 200 MRI scans were conducted during the first week of the Tokyo Games, and 90% of those were for suspected musculoskeletal issues, current study contributing author Dr. Yukihisa Saida reported that summer.

Adachi and colleagues sought to investigate the value of MRI on athletes' injury outcomes via a study that culled data from 567 MRI exams and 352 x-ray exams performed at Olympic Village in Tokyo between July 13 and August 11, 2021 (the Games started on July 23).
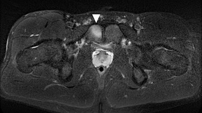
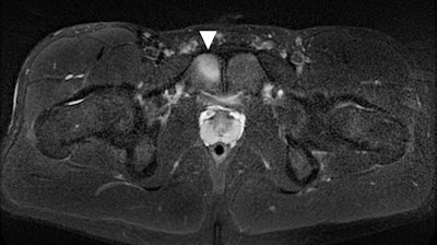
Two reading radiologists identified 42 bone stress injuries in 29 athletes: four stress fractures and 38 stress reactions. All 29 competitors had MRI exams and seven had x-ray exams; almost three-quarters (72%) had signs of injury before they arrived at the Games.
Adachi and colleagues discovered that bone stress injuries were most common in women (55%), in the lower extremities (66%), and in track and field players (45%). Of those athletes found to have bone injuries before checking into Olympic Village, 21% did not start or finish their events.
Early MRI could reduce the risk of stress injury progression in this population of elite athletes, and "further investigation of early diagnostic strategies, including the validity of early MRI examination, especially at the level of elite athletes, is required," according to Adashi's group.
"The finding that more than half of the cohort in our study had high-grade injuries emphasizes the importance of prevention and early diagnosis in Olympic athletes," the team concluded.