
How do different gadolinium-based contrast agents (GBCAs) affect gadolinium retention in the brain? In rats, concentrations of linear GBCAs were several dozen times greater one year after administration than levels of macrocyclic GBCAs, German researchers found in a study published online November 13 in Radiology.
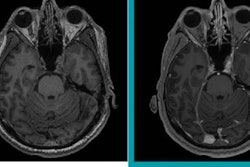
In addition, increased signal intensity in the deep cerebellar nuclei was evident 12 months later with linear GBCAs, while signal intensities were nearly comparable between rats given macrocyclic GBCAs and those receiving saline.
"Through use of both MRI and elemental gadolinium analysis, we demonstrated a lack of elimination for all three linear agents between five and 52 weeks, indicating that gadolinium retention has reached a steady state," wrote lead author Gregor Jost, PhD, and colleagues from Bayer HealthCare, Charité - Universitätsmedizin Berlin, and Forschungszentrum Jülich.
Over the past several years, research has provided evidence of increased signal intensity on MRI scans that has been linked to gadolinium retention. Signal intensity seems higher with linear GBCAs; however, it remains "unknown whether the reduction in gadolinium brain concentration simultaneously leads to a decrease in MRI signal hyperintensity," Jost and colleagues wrote.
Thus, the researchers sought to determine the degree of signal intensity by analyzing deep cerebellar nuclei (DCN)-to-brainstem ratios after administration of six different GBCAs. Measurements were obtained five, 26, and 52 weeks after administration.
The linear GBCAs used were gadodiamide (Omniscan, GE Healthcare), gadopentetate dimeglumine (Magnevist, Bayer), and gadobenate dimeglumine (MultiHance, Bracco Imaging), while the macrocyclic GBCAs were gadobutrol (Gadovist, Bayer), gadoteridol (ProHance, Bracco), and gadoterate meglumine (Dotarem, Guerbet). For comparison purposes, the study also included a saline control group.
The rats given the linear GBCAs showed significantly higher DCN-to-brainstem signal-intensity ratios (p < 0.001) at all three time points, compared with the saline group. The ratios were similar between gadodiamide (mean, 1.37), gadopentetate dimeglumine (mean, 1.36), and gadobenate dimeglumine (mean, 1.36) and persisted over the course of the 52-week study.
On the other hand, there was no statistically significant difference (p > 0.42) in signal-intensity ratios between the macrocyclic GBCA rats and the saline group at any time point. At 52 weeks, the mean ratios were 1.27 for gadobutrol, 1.28 for gadoterate meglumine, 1.28 for gadoteridol, and 1.27 for saline.
As for gadolinium concentration, linear GBCA levels in the cerebellum were a mean 38 times greater than macrocyclic GBCA levels at 52 weeks. In the cerebrum, gadolinium concentrations were 69 times greater with linear GBCAs than with macrocyclic GBCAs. In the brainstem, concentrations were 22 times greater with linear versus macrocyclic GBCAs.
| Mean gadolinium concentration for linear vs. macrocyclic GBCAs | ||
| Cerebellum | Brainstem | |
| Saline | 0.01 nmol/g | 0.01 nmol/g |
| Linear GBCAs | ||
| Gadopentetate dimeglumine | 2.13 nmol/g | 0.78 nmol/g |
| Gadobenate dimeglumine | 1.91 nmol/g | 0.59 nmol/g |
| Gadodiamide | 3.38 nmol/g | 0.92 nmol/g |
| Macrocyclic GBCAs | ||
| Gadobutrol | 0.08 nmol/g | 0.05 nmol/g |
| Gadoteridol | 0.07 nmol/g | 0.03 nmol/g |
| Gadoterate meglumine | 0.04 nmol/g | 0.03 nmol/g |
"Our results reveal marked differences between linear and macrocyclic GBCAs with respect to gadolinium retention at late time points due to the continuous elimination process for macrocyclic, but not for linear, GBCAs for at least one year," Jost and colleagues concluded.
Study disclosures
Gregor Jost, PhD, serves in the department of MR and CT contrast media research at Bayer, which supported the study with a financial contribution.




















