CHICAGO - Researchers employing functional MRI have found that children with attention deficit/hyperactivity disorder (ADHD) may show different brain activity patterns when processing visual attention information.
At a press briefing at the RSNA 2011 meeting, Xiaobo Li, PhD, assistant professor of radiology at the Albert Einstein College of Medicine, said the study among 18 children with ADHD and 18 controls indicated that "the pattern of brain activity for processing visual attention information looks a little different in children with ADHD."
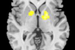
"The findings are supported by existing research that shows an increased involvement of the anterior cingulate cortex and disrupted frontoparietal connections during the visual attention processing pathway in ADHD," she said.
"Our study also suggests that bilateral middle temporal gyri may be associated with the psychopathology of ADHD," she added.
However, the initial work regarding attention in the different groups of children does not lend itself to treatment recommendations at this point in the research project, Li said.
The research team performed functional MRI scans to capture brain activity in the 9- to 15-year-olds diagnosed with ADHD, comparing the results to those in children without the diagnosis. The test requires the children to pay attention, visualize, remember, and compare numbers flashed on a screen while being scanned, Li explained.
She suggested that tests for attention deficit when added to those for impulsivity and hyperactivity could allow clinicians to diagnose ADHD more accurately. Currently, there is no single test for the disorder. If medical tests rule out other conditions, physicians usually diagnose the condition based on symptoms brought to their attention by parents, who often hear about them from teachers.
"This is very early information," said Dr. David Hovsepian, professor of radiology at Stanford University Medical Center, who moderated the press briefing. "What they are looking at here is the inattention aspect of ADHD and trying to see if there are functional biomarkers for that." Hovsepian did not participate in the study.
"I think the next study is to see what happens in a treated population and see if there is normalization of those pathways," he said. "I think this shows early promise and a clear way to move forward."
The children in the current study were not receiving treatment for their condition. Stimulant drugs are often prescribed for children with the disorder.




















