
Antidepressant drugs appear to protect the hippocampus, a key brain structure often damaged by depression, researchers report in the August American Journal of Psychiatry.
"It is often difficult to convince a patient of the value of drug therapy for major depression," said Dr. Yvette Sheline, associate professor of psychiatry, radiology, and neurology at Washington University School of Medicine in St. Louis. "Perhaps sharing this new insight will help us get such patients on a drug regimen and give them a major added incentive to stay on their medication."
Sheline and her team used high-resolution MRI to measure hippocampal volumes in 38 women who had reported an average of five episodes of major depression in their lifetimes, with only some of these episodes treated with antidepressant drugs. The team compared hippocampal volumes to the number of days on or off drug treatment (American Journal of Psychiatry, August 1, 2003, Vol. 160:6, pp. 1516-1518).
On average, hippocampal volume was smaller than normal in depressed women; the less time the patient took antidepressants, the smaller her hippocampus. The volume of loss was predictable, and was based on the number of days of reported depression versus the number of days on drug therapy.
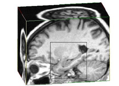
![]() |
| Three-dimensional MR image sectioned to reveal the hippocampus (highlighted by the box), which is approximately 10% smaller in patients with a history of depression. Sheline YI, Gado MH, Kraemer HC, "Untreated depression and hippocampal volume loss," American Journal of Psychiatry, Vol. 160:6, pp. 1516-1518, August 1, 2003. |
"Each subject also underwent independent interviews twice to enable us to find out the length of each depressive episode and if each episode was treated with antidepressants," Sheline said. "The untreated days appear to affect hippocampal volumes. The results from the imaging and the interviews suggest that if a woman took antidepressants for each depressive episode, then it had less effect on the volume of the hippocampus," she added.
The investigators did not compare the efficacies of specific drugs in preserving hippocampal volumes. Rather, they found that all were protective compared to no drug treatment.
"We've shown in other studies that people with hippocampal damage also have problems with certain memory tests," Sheline said. "And large epidemiology studies have shown that major depression is a risk factor for the later development of Alzheimer's disease. So it seems clear that volume loss in the hippocampus can have very negative effects, not to mention the devastating problems caused by depression itself."
Researchers do not know why the hippocampus shrinks. Some suggest that brain chemicals released during depression, such as cortisol, damage brain cells. Others suggest that depression destroys the connections between nerve cells, creating smaller volume. Sheline said that whatever the cause or causes of the shrinkage, antidepressants limit volume loss. Animal studies have also shown that antidepressant drugs are protective against stress-induced decreases in hippocampal volumes.
The team also reported that hippocampal volume loss appears to be cumulative with episodes of depression. "This makes it even more crucial to treat depression right away, in order to prevent damage," Sheline said.
She noted that many psychiatrists already recommend that patients prone to depression remain on antidepressants permanently. "Our research adds another dimension to the argument for such a patient remaining on antidepressants," she added.
Sheline's team plans to continue in this line of research, and is currently studying whether antidepressant drugs prevent damage to hippocampal neurons, and whether they may potentially restore previously lost volume.
By Bruce SylvesterAuntMinnie.com contributing writer
August 5, 2003
Related Reading
Depressed physicians confront professional and institutional barriers to treatment, June 18, 2003
Using PET to tailor antidepressant dosage, April 2, 2003
Functional MRI shows effects of antidepressants, February 28, 2003
Functional MRI shows how brain lets you smell that smell, February 14, 2003
Metabolic responses in the brain may predict lethality of suicide attempts, January 29, 2003
Copyright © 2003 AuntMinnie.com





















