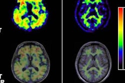
Radiopharmaceutical imaging developer Piramal Imaging has given PET Pharm Biotech exclusive rights to manufacture, market, and distribute its Neuraceq (florbetaben F-18) radiopharmaceutical throughout Taiwan.
The tracer is used for PET imaging to evaluate patients suspected of having Alzheimer's disease and other forms of cognitive impairment, according to Piramal.
Taiwan's Consumers Foundation estimates that more than 190,000 people in the country have Alzheimer's.



















