PET/CT scans with an experimental prostate-specific membrane antigen (PSMA) imaging agent can identify supraclavicular nodal metastasis in newly diagnosed prostate cancer patients, researchers have reported.
A team led by radiologists in Nairobi, Kenya, found metastases in supraclavicular (SC) lymph nodes in 8% of a large group of patients, and the group suggested adding consideration of the site during the initial diagnostic workup of patients.
“To the best of our knowledge, this is the first study reporting a significant prevalence of SC nodal metastasis in newly diagnosed prostate cancer patients,” noted first author Samuel Nguku Gitau, of Aga Khan University Hospital, and colleagues. The study was published March 17 in EJNMMI Reports.
Although the majority of patients with metastatic prostate cancer present with bone and regional nodal metastasis, the proportion of patients with atypical sites of metastasis is “not negligible,” the group explained.
Supraclavicular lymph nodes, for instance, are lymph nodes found above the clavicle, and there is a paucity of literature on the prevalence of disease at these sites in patients with prostate cancer, the authors added.
To bridge the gap in knowledge, the researchers identified 998 patients who underwent PET/CT scans using F-18 PSMA-1007 radiotracer at their hospital between June 2020 and June 2022. For the analysis, the researchers included 240 patients who underwent scans for primary staging of newly diagnosed disease.
The median age at presentation was 68 years old and the median PSA level among the group at diagnosis was 37. A majority of the patients presented with stage IV disease and were considered high or very high risk.
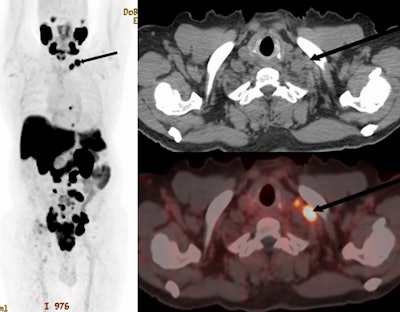
 F-18 PSMA-1007 PET/CT of a 70 year old with newly diagnosed prostate cancer: PSA 770 ng/ml; Gleason 5 + 5; International Society of Urological Pathology grade 5. The maximum intensity projection images, CT, and fused images show PSMA ligand-avid prostate primary with pelvic, retroperitoneal, and mediastinal nodal spread. Additionally, he had left supraclavicular nodal metastasis (arrows). Image and caption available for republishing under Creative Commons license (CC BY 4.0 DEED, Attribution 4.0 International) and courtesy of EJNMMI Reports.
F-18 PSMA-1007 PET/CT of a 70 year old with newly diagnosed prostate cancer: PSA 770 ng/ml; Gleason 5 + 5; International Society of Urological Pathology grade 5. The maximum intensity projection images, CT, and fused images show PSMA ligand-avid prostate primary with pelvic, retroperitoneal, and mediastinal nodal spread. Additionally, he had left supraclavicular nodal metastasis (arrows). Image and caption available for republishing under Creative Commons license (CC BY 4.0 DEED, Attribution 4.0 International) and courtesy of EJNMMI Reports.
According to the findings, the prevalence of SC nodal metastasis in the cohort was 7.9% (n = 19/240). A majority of those with SC nodal metastasis, 84% (n = 16/19) also had associated skeletal metastasis and one patient with SC nodal disease had associated visceral metastasis in the lungs, the group added.
“Advanced stage and high-risk groups were strongly associated with the presence of supraclavicular nodal metastasis,” the group wrote.
This late presentation in prostate cancer is a common finding in sub-Saharan Africa, the researchers noted, and it is a combination of delayed diagnosis and relatively aggressive disease in men of African descent compared with Caucasians.
Thus, ultimately, SC lymph nodes should be an area of consideration during diagnostic workup and follow-up of prostate cancer patients, with further research needed to determine whether identifying metastases at these sites has prognostic value, the group suggested.
“The prognostic significance of supraclavicular nodal metastasis in prostate cancer requires further research,” the researchers concluded.
The full study is available here.




















