
A worklist prioritization tool that uses artificial intelligence (AI) can cut turnaround and wait times for pulmonary embolism (PE)-positive CT pulmonary angiography (CTPA) exams, a study published April 5 in the American Journal of Roentgenology has found.
A team led by Dr. Kiran Batra from the University of Texas Southwestern Medical Center in Dallas found that an AI-assisted tool can reduce report turnaround time by about 13 minutes and wait time by about 12 minutes, respectively -- great news for patient care and outcomes.
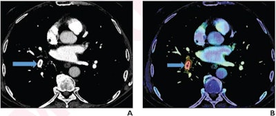
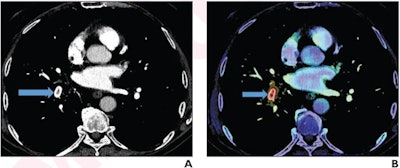
"An AI-driven worklist reprioritization yielded reductions in report turnaround time and wait time for PE-positive CTPA examinations," the investigators wrote.

Timely intervention is needed to produce optimal outcomes in patients with acute pulmonary embolus. Batra's team explored whether an AI-enabled worklist prioritization tool could help streamline the imaging process.
The group conducted a study that included 2,501 examinations in 2,197 patients with pulmonary embolism; of these, 1,166 were from the pre-AI period and 1,335 examinations from the post-AI period. The team found that using the algorithm shortened CTPA report turnaround time and exam wait time for routine studies compared to not using it. There was, however, no significant difference in reading time for CTPA reports positive for acute pulmonary embolus, compared with reports from before AI implementation.
Performance metrics pre- and post-AI intervention for pulmonary embolism-positive CTPA exams | ||
Measure | Pre-AI period | Post-AI period |
Report turnaround time | 59.9 minutes | 47.6 minutes |
Exam reading time | 26.5 minutes | 26.3 minutes |
Wait time for CTPA exam, overall | 33.4 minutes | 21.4 minutes |
Wait time for routine CTPA exams during regular hours | 43.7 minutes | 15.3 minutes |
Using AI with CTPA could translate to earlier interventions for acute pulmonary embolus.
"By assisting radiologists in providing rapid diagnoses, the AI tool could potentially enable earlier interventions for acute PE," the team concluded.