
The imaging and clinical characteristics of breakthrough COVID-19 infections are milder in vaccinated people compared with those who are partially vaccinated or unvaccinated, according to a study published February 1 in Radiology.
The study findings further support the efficacy of COVID-19 vaccination when it comes to mitigating severity of disease infection, wrote a team led by Dr. Jong Eun Lee of Chonnam National University Hospital in Dong-gu, Gwangju, South Korea.
"[We found that] patients with COVID-19 breakthrough infections had a higher proportion of CT scans without pneumonia compared to unvaccinated patients, and vaccination status was significantly associated with the need for supplemental oxygen and [intensive care unit (ICU)] admission," the group wrote.
COVID-19 vaccines have proved to be effective in slowing the pace of the pandemic, but they don't completely prevent reinfection, Jeong and colleagues noted. Breakthrough infections of the disease are defined as detection of SARS-CoV-2 RNA or antigen 14 days or more since a person has received all recommended COVID-19 vaccines.
"Although the risk of infection is much lower among vaccinated individuals, and vaccination reduces the severity of illness, clinical and imaging data of COVID-19 breakthrough infections have not been reported in detail," senior author Dr. Yeon Joo Jeong, PhD, said in a statement released by the RSNA.

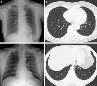
In the new study, Lee's group evaluated data from 761 adult patients with COVID-19 disease and available baseline chest x-rays from a database called the Korean Imaging Cohort for COVID-19 (KICC-19) from between June and August 2021. Patients were divided into groups according to vaccination status; the investigators then assessed any differences in clinical and imaging findings and associations between factors such as vaccination status and health outcomes.
The investigators found a dramatic difference in the incidence of breakthrough COVID-19 infection by vaccination status, as well as the percentage of negative results on chest CT (of the total patient cohort, 54% underwent chest CT while in the hospital). Lee and colleagues also found that fully vaccinated patients also had lower risk of needing supplemental oxygen and ICU admission than unvaccinated people.
Incidence of breakthrough COVID-19 infection and negative chest CT results | |||
Variables | Unvaccinated | Partially vaccinated | Fully vaccinated |
Incidence of breakthrough infection | 77% | 17% | 6.2% |
Negative results for COVID-19 pneumonia on CT | 22% | 30% | 59% |
The research offers further evidence of the benefits of the COVID-19 vaccine, according to an accompanying editorial by Dr. Mark Schiebler and Dr. David Bluemke, PhD, both of the University of Wisconsin-Madison School of Medicine and Public Health.
"The authors have furthered our understanding of vaccine effectiveness," the two wrote. "If seeing is believing, the visual evidence provided by Lee et al. might even help to strengthen the hand of public health officials still working to overcome the problem of vaccine hesitancy. We can only hope."