
Minimum intensity projection (MinIP) reconstructions improve the accuracy of chest CT exams when it comes to identifying ground-glass opacity (GGO) in patients with suspected COVID-19 disease, according to a study published December 14 in the European Journal of Radiology.
And clinicians noticed the difference: CT images processed with the technique were preferred by both radiologists and referring physicians when compared with standard transverse sections and multiplanar reformat (MPR) series, wrote a team led by Dr. Christian Booz of University Hospital Frankfurt in Germany.
"Diagnostic confidence, image quality, the contrast between GGO and unaffected lung parenchyma, and subjective time-efficiency were rated better for MinIP reconstructions by six radiologists ... [and] five clinicians preferred using MinIP reconstructions for COVID-19 assessment with regards to general suitability for clinical routine, image quality, and subjective time-efficiency," the investigators wrote.

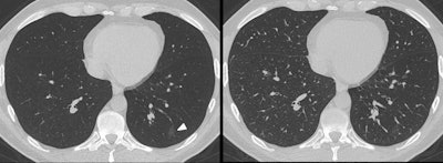
Some studies suggest that chest CT is more sensitive when it comes to diagnosing COVID-19 than reverse transcription polymerase chain reaction (RT-PCR) testing; this sensitivity is due to the modality's ability to identify ground-glass opacity, a key indicator of the disease. But standard transverse CT reconstructions and MPRs can miss ground-glass opacities due to overlay by vascular structures -- and that's bad news for patients, the team wrote.
"[These missed findings] may be critical because even subtle ground-glass opacities commonly tend to worsen rapidly in COVID-19 patients causing the need for prompt hospitalization and oxygen therapy," the authors wrote. "Therefore it is crucial to detect GGO in the earliest stages in order to enable highly accurate severity assessment ... [and improve] clinical patient management and outcome."
As MinIP has been shown to have a higher accuracy for assessing GGO in comparison with standard MPRs in interstitial lung disease, Booz and colleagues sought to investigate whether it could improve CT's performance in patients with suspected COVID-19.
The group conducted a study that included 185 patients. Six radiologists assessed the diagnostic accuracy, confidence, and image quality of ground-glass opacities identified on CT, comparing the minimum intensity projection reconstructions to the standard multiplanar reformat series. Five referring physicians also evaluated how efficient using the minimum intensity projection reconstructions proved to be in routine practice. The radiologists and referring clinicians rated these measures using a scale from one to five.
Of the 185 patients, 149 (80.5%) had chest CT scans that showed ground-glass opacity. Images processed with MinIP showed higher sensitivity, specificity, and accuracy for evaluating GGO compared with standard MPR series, the group wrote.
MPR vs. MinIP for identifying ground-glass opacities in COVID-19 patients | ||
Performance measure | MPR reconstructions | MinIP reconstructions |
Accuracy | 93.8% | 99.1% |
Negative predictive value | 82.7% | 99.5% |
Positive predictive value | 96.6% | 99% |
Sensitivity | 95.6% | 99.9% |
Specificity | 86.1% | 95.8% |
The study also found radiologists and referring physicians rated the chest CT exams processed with minimum intensity projection reconstruction higher than those exams that underwent the MPR series for across a variety of factors.
MPR vs. MinIP performance (score range, 1 to 5) | |||
Performance measure | MPR reconstructions | MinIP reconstructions | |
Radiologists | |||
Diagnostic confidence | 4.26 | 4.59 | |
Image quality | 4.13 | 4.27 | |
Contrast between GGO and unaffected lung parenchyma | 3.86 | 4.53 | |
Time efficiency | 3.86 | 4.63 | |
Referring clinicians | |||
Suitability for routine COVID-19 assessment | 2.90 | 4.51 | |
Image quality | 3.02 | 4.52 | |
Time efficiency | 3.00 | 4.50 |
The study highlights a way to make CT even more effective for diagnosing COVID-19, according to the authors.
"Our data are supportive of a feasible and widely reproducible approach to optimize chest CT imaging of COVID-19 patients," they concluded.