Dear AuntMinnie Member,
The annual meeting of the International Society for Computed Tomography (ISCT) is underway this weekend in San Diego, and Assistant Editor Abraham Kim is on the scene filing reports for our CT Community.
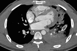
In a Friday presentation, Dr. Savvas Nicolaou from Vancouver General Hospital in Canada discussed the value of CT as a first-line imaging modality for patients presenting in the emergency room with penetrating trauma, such as from gunshot wounds. CT appears to be taking over from x-ray as the initial modality to be used in these cases, and Dr. Nicolaou discussed three signs on CT angiography that can indicate a patient needs urgent evaluation. Find out what they are by clicking here.
Be sure to check back over the next few days for more coverage of ISCT 2018, or visit our CT Community at ct.auntminnie.com.
AI grabs headlines at C-MIMI 2018
Earlier in the week, the Conference on Machine Intelligence in Medical Imaging (C-MIMI) took place in San Francisco, where several hundred experts in artificial intelligence (AI) gathered to discuss what's become the hottest technology in radiology. Our coverage of C-MIMI dominated the headlines this past week, such as our interview with Dr. Eliot Siegel, in which he explains his thoughts on the intersection of AI and medical imaging. We also spoke with Dr. Bradley Erickson, PhD, who discussed whether AI would live up to the extensive hype it's currently experiencing.
Other stories from C-MIMI 2018 included an article on the keynote talk by AI entrepreneur Jeremy Howard, in which he discussed the eight myths of AI in radiology and why they're wrong. Far from thinking AI will replace radiologists, he believes that the future of AI is up to radiology professionals to shape. Learn more by clicking here.
Finally, learn about a new AI algorithm being developed that will summarize radiology reports of x-ray images, a program from the U.S. Food and Drug Administration (FDA) to speed up regulatory reviews of AI software, and a project that used an "intelligent swarm" of radiologists working with AI to diagnose pneumonia on chest x-rays.
Get these stories and more in our Artificial Intelligence Community, at ai.auntminnie.com.
Research road map on gadolinium
Finally, the radiology community took a step closer to solving the mystery of gadolinium deposition this past week with the publication of a research "road map" that will guide further investigation into the phenomenon.
The road map is the output of a two-day workshop in February 2018. Researchers, vendors, and representatives of the FDA gathered to discuss how to explore the many questions around gadolinium retention, in which trace elements of the contrast material remain in the tissue of patients, in some cases for years after they received MRI scans.
The FDA has taken a more cautious approach than other regulatory authorities around the world in reacting to gadolinium retention, so it will be interesting to see how the road map shapes the agency's actions moving forward. Learn more by clicking here, or visit our MRI Community at mri.auntminnie.com.




















