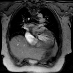
Cine MR of Aortic Stenosis:
The images below are from a cine MR exam of a patient with aortic stenosis. The exam revealed thickened valves with little mobility. There is a thin turbulent jet through the stenotic valve. Post-stenotic dilatation of the ascending aorta could be seen on other images.







