Myocardial Infarction:
Clinical:
High sensitivity cardiac specific troponin (cTn) can be used to detect acute MI in the emergency room setting [22]. The downside of such high-sensitivity assays is the reduced specificity as troponin elevations can also occur with heart failure, LVH, hypertension, advanced age, pulmonary embolism, stable angina, sepsis, acute emotional stress, and muscular exercise [22]. It is estimated that about 15% of the myocardium must be infarcted to see pulmonary venous congestion, and 30% will result in left ventricular enlargement. After MI, the heart undergoes a reparative process that begins with an inflammatory response, angio-genesis, and fibroblast-like cell proliferation that eventually leads to scar formation [14]. The area of the fibrous scar can eventually become infiltrated with adipocytes [14].
Left ventricular remodeling after MI is an important element in
the progression of cardiac insufficiency to overt heart failure
and an early marker of increased morbidity and mortality [6].
Multiple factors contribute to remodeling including anterior
infarct location, patency of the infacrt artery, LVEF, and infarct
size (the risk for remodeling increases 2.8 fold with each 10% in
infarct size) [6]. Left ventricular aneurysm formation is a
complication of acute MI that can lead to remodeling and
progressive heart failure, thromboembolic events, and arrhythmias
[8]. As an infarct heals, changes in tissue composition,
repolarization disruption, and autonomic dysfunction can lead to
an increased risk for arrhythmia [18].
Cellular cardiomyoplasty is an attempt at repair of damaged
myocardium using a variety of cells including fetal or neonatal
cardiomyocytes, cardiac cells derived from adult atrial
appendages, skeletal myoblasts, embryonic stem cells, or
bone-marrow derived mesenchymal and hematopoietic stem cells
[10,23]. The cells can be administered locally (intramyocardial or
intracoronary) or systemically (intravenous) [10]. The treatment
is based on the potential for these cells to differentiate into
cardiomyocytes to repopulate the damaged myocardium or to secrete
cytokines (growth factors) that promote the growth of existing
cardiomyocytes and/or blood vessels in the border zone [10,17,23].
In a phase II study evaluating the effectiveness of
transendocardial delivery of autologous bone marrow cells in
patients with chronic heart failure, there was a 2.7% improvement
in LVEF compared to placebo; however, LVESV, maximal oxygen
consumption, and reversible perfusion abnormalities on SPECT did
not significantly improve compared to placebo [21]. The increase
in LVEF was related to the number of CD34 and CD 133 cells used in
the transplant [21]. Both CD 34 and CD133 cell populations have
been shown to give rise to endothelial and vascular progenitor
cells and to secrete chemokines and cytokines capable of
recruiting cells and promoting cell survival [21].
A meta-analysis of bone marrow stem vell therapy on LV function
and myocardial perfusion found the treatment to have an overall
positive impact on LV recovery in patients with acute coronary
syndromes with an increased in LVEF of 4.6% +/- 0.7% and a
decrease in perfusion defect size (9.5% +/- 1.4%) compared to
controls (2.8% +/- 0.9% and 3.8% +/- 1.2%, respectively) [23].
However, other studies have concluded that cell therapy does not
augment recovery of resting perfusion in either the MI core or
border zone (this study did not evaluate the effects on LVEF)
[24].
Determining the ideal time for cell transfer is complicated [23].
Very early treatment can negatively influence the transplanted
cells due to local inflammation, tissue edema, and toxic
reperfusion products [23]. The best time may be between 6-7 days
after the ACS when the inflammatory process begins to subside amd
the healing process begins [23]. Unfortunately, the long term
benefit of the treatment has been minimal or absent- especially
when the treatment is performed in a delayed manner 2-3 weeks
following the acute MI [15,20]. This may be due to retention of
the cells in the peri-infarct zone (the infarct core is not
directly accessible to the transcoronary administered cells) [15].
Low levels of cell engraftment (only 10-30% of injected cells can
be found in the myocardium in the first few hours following
transplantation) results in only a small number of cells being
available for cardiac differentiation [17]. Some authors suggest
that the most favorable effects are observed when bone marrow cell
delivery is performed between days 5 to 7 post-MI [20].
Complications of myocardial infarction include:
1- True Aneurysm:
True aneurysms occur secondary to transmural infarcts and almost all true aneurysms involve the left ventricle [19]. About 80% involve the anterior apical/lateral walls. True aneurysms are only rarely posterior. Approximately 50% of ventricular aneurysms will calcify. True aneurysms rarely rupture, and if they do, it is typically within 2 to 3 weeks of the myocardial infarction (at the point of maximal necrosis). Patients with LV aneurysms and CHF symptoms have a poor prognosis if treated medically [8]. Surgical resection of the aneurysm together with coronary artery bypass grafting can significantly improve LV function and survival [8]. The presence of viable myocardial tissue within an aneurysm identifies a subset of patients that show improved survival following surgical treatment compared to medical therapy [8].
2- False Aneurysm.
False aneurysms are much less common than true aneurysms. However, a false, or pseudo- aneurysm is a medical emergency as it may rupture at any time. False aneurysms represent a ventricular rupture through the entire myocardial wall that is confined only by adherent pericardium and adjacent epicardial soft tissues [19]. They involve the posterior wall in 50-70% of cases. The lesion results from a occlusion of a dominant right coronary artery in nearly 75% of cases. [ACR Syllabus #40: p.531-535]
|
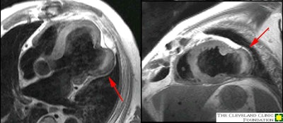
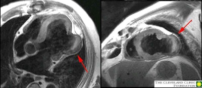
Left ventricular pseudoaneurysm: Pseudoaneurysm of the mid free wall of the left ventricle. Note that this is an atypical location - the usual location is inferobasilar/posterior wall. Case from Dr. Scott Flamm. |
|
|
3- Thrombus
Thrombus formation occurs in approximately 10% of myocardial infarctions [19]. Most left ventricular thrombi develop within 2 weeks of the MI and are believed to be related to the inflammatory response to the infarct and hemostasis due to wall motion abnormalities in the regin o the MI [19]. LV thrombi are more commonly seen after anterior rather than inferior infarcts and are most commonly observed in the apex [19].X-ray:
CXR: In patients presenting with an acute MI, about 50% of patients will have a normal CXR. About one-third of patients will demonstrate signs of pulmonary venous hypertension (pulmonary vascular redistribution, interstitial edema, and localized or diffuse alveolar edema). The degree of pulmonary venous hypertension appears to be a powerful predictor of patient prognosis. The greater the amount of pulmonary edema on the initial CXR (within initial 24 hours) the worse the prognosis (if patient was known to have previously normal CXR). The lack of pulmonary venous hypertensive changes is associated with an early (six month) and late (one year) mortality of under 10%. Mortality exceeds 30%, however, if present. If the initial CXR demonstrates interstitial or localized alveolar edema, one year survival is under 50%. When diffuse alveolar edema is seen on the initial film, one year survival is 0%. About 22% of chronic infarctions seen on CT imaging will demonstrate the presence of linear fatty infiltration within the ventricular wall at the site of the infarct [9].
CT:
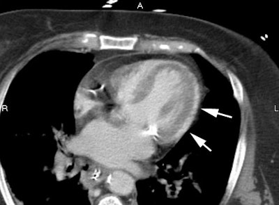
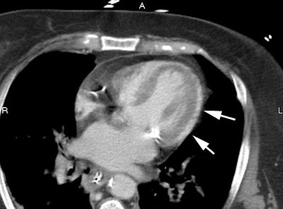
On dynamic imaging, an acute area of myocardial infarction will demonstrate decreased contrast enhancement.
|
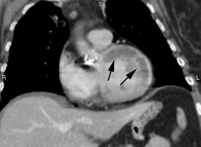
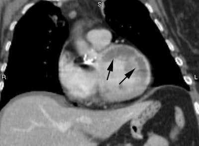
.Massive acute MI: Contrast CT demonstrates a massive acute MI with extensive areas of decreased enhancement involving the anterior, lateral, and septal walls (black arrows). Inferior wall is enhancing normally. Note bright epicardial enhancement in the infarcted regions (white arrows).
|
|
|
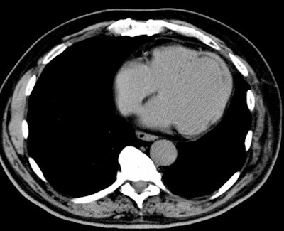
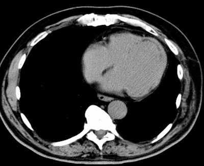
Lipomatous metaplasia is a common finding in chronic infarcts [19]. Linear fat infiltration can be seen in the LV wall in areas of prior infarction in 22-62% of patients- typically in the subendocardial region and there can be associated LV wall thinning [14]. Differential considerations include tuberous sclerosis which can also demonstrate well circumscribed fatty foci mainly in the interventricular septum and LV wall [14].
Delayed contrast enhanced CT imaging can also reveal areas of myocardial infarction [12]. There is no universal agreement on the most suitable protocol and intervals between 5-15 minutes after contrast administration have been used [12]. On delayed post contrast CT imaging areas of infarction demonstrate persistent contrast retention in comparison to normal myocardium [7]. The sensitivity of CT for detection of areas of infarct is about 90% (compared to delayed contrast enhanced MR) [7]. One of the benefits of CT is that the exam can be performed following percutaneous coronary intervention which utilizes IV contrast [7]. The additional radiation exposure from the exam is approximately 3.8 mSv in women and 2.8 mSv in men [12]. Low kilovoltage (i.e. 80 kVp) protocols for delayed enhancement CT imaging have been shown to result in better iodine contrast differentiation and will reduce radiation exposure [12].
|
.Prior apical MI: Non-contrast CT demonstrated apical thinning with fibrofatty infiltration consistent with a prior apical MI |
|
|
MRI: On MRI, acutely infarcted myocardium demonstrates increased signal intensity on T2 images.
|
.Prior MI: Below are two short axis views (diastole and systole) from a cine-GRE sequence of a patient with an inferior MI. The examination demonstrates thinning and lack of motion in the inferior wall consistent with an area of infarction. Case from Dr. Scott Flamm. |
|
|
Delayed contrast enhanced MR (DE MR) imaging is very sensitive for detecting areas of myocardial infarction and scar. Gadolinium washout of infarcted tissue more slowly than out of healthy myocardium [4]. For the MR exam delayed inversion-recovery fast low-angle shot contrast-enhanced imaging is performed in the short axis plane 15 minutes following the IV administration of 0.15 mmol of gadolinium per kg of body weight [2]. MR imaging parameters are 6.0/3.4/200-220 (repetition time msec/echo time msec/inversion time msec), a section thickness of 10 mm, a 240x320 field of view, and an image matrix of 192x256 [2].
Areas of acute myocardial infarction will demonstrate contrast enhancement in these regions following the administration of gadolinium (most likely secondary to edema and an increase in the extracellular space at the site of infarction) [2]. The transmural extent of hyperenhancement within the 1st week after MI can be used to predict late improvement in contractile function [2]. Regions with greater transmural enhancement are less likely to demonstrate improved wall motion [2]. When the transmural extent of infarction involves <20% of the wall thickness, hypokinesia is noted on wall motion analysis [11]. When the infact involves ≥ 20% of the wall thickness, akinesia or dyskinesia is seen [11]. Infarct transmurality is also a main predictor of LV remodeling [11]. In patients that have undergone reperfusion after presenting with an acute MI, the extent of delayed enhancement has been observed to decrease during the first week following the event- likely due to salvage of the myocardium that had been at risk [13]. After one week, the extent of delayed enhancement remains relatively fixed and indicates the final extent of the patient's area of infarction [13,16].
DE MR has been shown to be superior to SPECT imaging for the detection of acute MI- particularly for inferior infarcts [3]. In patients with infarction and scar, the region of DE will characteristically always involve the subendocardial layer [5]. If the subendocardial layer is not involved, other non-ischemic causes of DE should be considered including: acute myocarditis, hypertrophic cardiomyopathy, arrhythogenic RV dysplasia, cardiac sarcoid, endomyocardial biopsy, and transcoronary ablation of septal hypertrophy [5].
By about 30 days following the event, the area of infarction will demonstrate thinning of the myocardium and decreased signal on T2 images or gradient echo images due to the presence of fibrosis.
REFERENCES:
(1) Circulation 1980; The initial chest x-ray in acute myocardial infarction. Prediction of early and late mortality and survival. 61(5), 1004-1009 (no abstract available)
(2) Radiology 2003; Kitagawa K, et al. Acute myocardial infarction: myocardial viability assessment in patients early thereafter- comparison of contrast-enhanced MT imaging with resting 201Tl SPECT. 226: 138-144
(3) Radiology 2004; Lund GK, et al. Acute myocardial infarction: evaluation with first-pass enhancement and delayed enhancement MR imaging compared with 201Tl SPECT imaging. 232: 49-57
(4) Radiology 2004; Edelman RR. Contrast-enhanced MR imaging of the heart: overview of the literature. 232: 653-668
(5) AJR 2005; Hunold P, et al. Myocardial late enhancement in contrast-enhanced cardiac MRI: distinction between infarction scar and non-infarction-related disease. 184:1420-1426
(6) Radiology 2007; Lund GK, et al. Prediction of left ventricular remodeling and analysis of infarct resorption in patients with reperfused myocardial infacts by using contrast-enhanced MR imaging. 245: 95-102
(7) AJR 2008; Boussel L, et el. Assessment of acute myocardial infarction using MDCT after percutaneous coronary intervention: comparison with MRI. 191: 441-447
(8) J Nucl Med 2008; Zhang X, et al. Long-term survival of patients with viable and nonviable aneurysms assessed by 99mTc-MIBI SPECT and 18F-FDG PET: a comparative study of medical and surgical treatment. 49: 1288-1298
(9) AJR 2009; Ahn SS, et al. CT detection of subendocardial fat in myocardial infarction. 192: 532-537
(10) Radiology 2009; Qiao H, et al. Embryonic stem cell grafting in normal and infarcted myocardium: serial assessment with MR imaging and PET dual detection. 250: 821-829
(11) J Nucl Cardiol 2009; Ernande L, et al. Rest and low-dose dobutamine Tc-99m-mibi gated-SPECT for early prediction of left ventricular remodelling after a first reperfused myocardial infarction. 16: 597-604
(12) Radiology 2009; Bastarrika G, et al. CT of coronary artery disease. 253: 317-338
(13) Radiology 2010; Ibrahim T, et al. Acute myocardial infarction: serial cardiac MR imaging shows a decrease in delayed enhancement of the myocardium during the 1st week after reperfusion. 254: 88-97
(14) Radiographics 2010; Kimura F, et al. Myocardial fat at cardiac imaging: how can we differentiate pathologic from physiologic fatty infiltration. 30: 1587-1602
(15) J Nucl Cardiol 2011; Musialek P, et al. Randomized
transcoronary delivery of CD34+ cells with perfusion versus
stop-flow method in patients with recent myocardial infarction:
early cardiac retention of 99mTc-labeled cells
activity. 18: 104-116
(16) Radiology 2011; Mather AN, et al. Timing of cardiovascular
MR imaging after acute myocardial infarction: effect on estimates
of infarct characteristics and prediction of late ventricular
remodeling. 261: 116-126
(17) J Nucl Cardiol 2012; Chan AT, et al. SPECT and PET to
optimize cardiac stem cell therapy. 19: 118-25
(18) J Nucl Cardiol 2012; Kelesidis I, Travin MI. Use of cardiac
radionuclide imaging to identify patients at risk for arrhythmic
sudden cardiac death. 19: 42-52
(19) AJR 2012; Shriki JE, et al. Incidental myocardial infarct on
conventional nongated CT: a review of the spectrum of findings
with gated CT and cardiac MRI correlation. 198: 496-504
(20) JAMA 2011; Traverse JH, et al. Effect of Intracoronary
Delivery of Autologous Bone Marrow Mononuclear Cells 2 to 3 Weeks
Following Acute Myocardial Infarction on Left Ventricular
Function. The LateTIME Randomized Trial. 306: 2110-2119
(21) JAMA 2012; Perin EC, et al. Effect of transendocardial
delivery of autologous bone marrow mononuclear cells on functional
capcity, left ventricular function, and perfusion in chronic heart
failure. The FOCUS-CCTRN trial. 307: 1717-1726
(22) J Nucl Cardiol 2013; Beller GA. Is there a role for
myocardial perfusion imaging in patients with an elevated
high-sensitivity troponin? 20: 705-706
(23) J Nucl Cardiol 2014; Sadat K, et al. The effect of bone
marrow mononuclear stem cell therapy on left ventricular function
and myocardial perfusion. 21: 351-367
(24) Radiology 2014; Robbers LFHJ, et al. Cell therapy in
reperfused acute myocardial infarction does not improve recovery
of perfusion in the infarcted myocardium: a cardiac MR imaging
study. 272: 113-122












