CHICAGO -- Chest CT images reveal that cigarette and marijuana smokers are at higher risk of developing emphysema, according to research presented November 28 at the RSNA annual meeting.
In her presentation, Jessie Kang, MD, from Dalhousie University in Halifax, Nova Scotia, Canada, showed findings suggesting that people who combine marijuana and cigarettes are 12 times more likely to develop centrilobular emphysema than non-smokers.
“With our study, we show that there are physical effects of marijuana smoking on the lungs and that cigarette smoking and marijuana smoking may have a combined damaging effect on the lungs,” Kang said in a statement.
While there is clear evidence that cigarette smoking causes harm to the lungs, little is known about smoking marijuana’s effects, as well as the combined effects of smoking both.
Kang also noted that marijuana is the most widely used illicit psychoactive substance in the world. Canada legalized nonmedical marijuana in 2018.
Kang and colleagues investigated the effects of marijuana smoking on the lungs and chest wall by evaluating CT chest images in regular marijuana smokers.
The team included people who have at least a two-year history of marijuana use, including use four times a month, and who have had a chest CT. The group excluded people who use marijuana as edibles or oral drops.
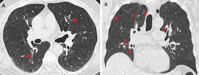
CT images show airway changes in a 66-year-old male marijuana and tobacco smoker with cylindrical bronchiectasis and bronchial wall thickening (arrowheads) in multiple lung lobes in a background of paraseptal and centrilobular emphysema. Image and caption courtesy of the RSNA.
The researchers found that the proportion of patients with paraseptal emphysema is higher in the cigarette smoker and combined smoker groups. They also found that marijuana smoking was tied to a five- to seven-times higher risk of developing paraseptal emphysema than nonsmokers.
Additionally, the researchers found that the combined smoking group was 12 times more likely to have centrilobular emphysema than nonsmokers. This is a type of pulmonary emphysema where the air sacs within the lungs are damaged, leading to breathing difficulties and other serious respiratory symptoms.
Finally, the team reported that the combined smoker group had a four times higher risk of developing bronchial wall thickening than nonsmokers. However, it also found no significant association between marijuana smokers and gynecomastia.
Kang said this study addressed misconceptions about smoking marijuana’s health effects on the lungs. However, she also called for more research to study the long-term effects, so that the public can make an informed decision on recreational usage of marijuana.



















