Hermes Medical Solutions has released new updates to its Hermia multimodality software for nuclear medical imaging and dosimetry.
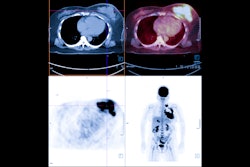
The updated version provides new CE-marked functionalities for displaying and analyzing nuclear medicine images across modalities, including PET/CT, SPECT/CT, PET/MR, and RTDOSE, the Stockholm-based firm said in a statement.
The new Hermia functionalities include computer-assisted organ segmentation, the Dmax tool for quantifying lesion spread in disseminated disease, and a split tool for manual separation of adjacent lesions or physiological uptake.
The update also features Hermes’ Theranostic Dashboard for optimizing patient-specific activity injections while ensuring safe dose limits for all available radiopharmaceuticals, the Selective Internal Radiation Therapy (SIRT) application for dosimetry planning and verification, and the Lung Lobe Quantification (LLQ) tool, which includes a new lung segmentation algorithm.
In addition, this update includes personalized tutorial support to assist with complex or infrequent workflows.









